-
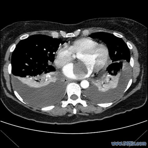
肝癌-乙肝携带者多年不复查,肚子胀发现肝癌破裂出血
引言:被忽视的“小毛病”与致命的转折 在快节奏的现代生活中,许多人都背负着健康“历史问题”前行,其中慢性乙型肝炎病毒(HBV)携带者是一个庞大的群体。对于部分携带者而言,由于早期可能没有明显症状,加之对疾病进展的轻视或对长期服药的顾虑,定期复查常常被置于次要位置,甚至被完全遗忘。肝脏是一个“沉默的器官”,当其内的隐患悄然滋长、最终爆发时,往往已酿成无法挽回的...
2026-03-18
-
低热-下午低热盗汗当感冒治,呼吸科医生让拍CT发现肺结核
午后低热与夜间盗汗:不容忽视的肺结核信号——从症状识别到CT诊断 引言 在呼吸系统疾病中,肺结核因其传染性和潜在的健康危害而备受关注。其早期症状常不典型,极易与普通感冒或上呼吸道感染混淆。许多患者因反复出现的午后低热、夜间盗汗等症状而自行服用感冒药,直至症状迁延不愈才前往医院,此时可能已错过了最佳干预时机。本文将深入剖析肺结核的典型与非典型症状,重点阐述“低...
2026-03-06
-
胰高血糖素-胰岛α细胞
人体血糖水平的稳定是维持生命活动正常进行的基础,这一精密的平衡主要由内分泌部——胰岛所调控。胰岛虽仅占体积的1%-2%,却发挥着无可替代的生理作用。其中,胰岛α细胞(亦称A细胞)与胰岛β细胞(B细胞)构成了一对相互拮抗、协同工作的核心调节单元,如同维持血糖天平稳定的两只手。β细胞分泌的胰岛素负责降低血糖,促进合成代谢;而α细胞分泌的胰高血糖素则扮演着“升糖卫...
2026-04-05
-
胃溃疡-那个吃了一个月胃药也没好转的病人,最后发现是心脏问题
摘要 本文通过详细报告一例以“胃溃疡”样症状为表现、最终确诊为不稳定型心绞痛的典型病例,系统阐述了非典型心绞痛(尤其是下壁心肌缺血)与上消化道疾病的鉴别诊断困境。文章深入分析了误诊原因,包括症状重叠、问诊局限性与辅助检查的初步误导,并在此基础上,提出了加强全科医生心血管风险评估意识、推广多学科协作诊疗模式及重视“报警症状”识别等改进策略,旨在提升临床医生对这...
2026-03-07
-
重症联合免疫缺陷-婴儿反复感染,T细胞B细胞缺乏
重症联合免疫缺陷病(SCID)是儿科领域最严重的原发性免疫缺陷病之一,以T淋巴细胞和/或B淋巴细胞的先天性、重度缺陷为特征,导致患儿几乎完全丧失适应性免疫功能。婴儿期是其典型发病窗口,临床表现为反复、严重、迁延不愈的感染,且对常规治疗效果不佳。本文旨在系统阐述SCID的免疫学发病机制、临床特征、诊断策略及管理原则,重点剖析其导致婴儿反复感染的病理生理基础,以...
2026-03-26
-
淋巴瘤-腋下淋巴结肿大消炎药吃了两周没消,普外科医生说别再吃
当消炎药无效时:警惕隐藏在淋巴结肿大背后的淋巴瘤 引言:一个常见的症状,一个不寻常的警示 在普外科或全科门诊,医生经常遇到因“腋下长了个疙瘩”而前来就诊的患者。这个“疙瘩”很多时候是肿大的淋巴结。淋巴结是人体免疫系统的重要组成部分,遍布全身,尤其在颈部、腋窝、腹股沟等部位较为表浅、易于触及。当身体遭遇感染(如细菌、病毒)时,附近的淋巴结常常会肿大、疼痛,这是...
2026-03-12
-
白血病-白血病患儿移植后,血液科医生说排异反应不全是坏事
排异之刃:移植后免疫博弈的双重奏——论白血病患儿移植后排异反应的辩证观 引言:并非简单的“好”与“坏” 在儿童白血病的治疗战场上,异基因造血干细胞移植(俗称移植)常被视为一种可能带来治愈希望的重要武器。移植成功远非终点,紧随其后的排异反应(医学上称为移植物抗宿主病,GVHD)往往成为患儿与家庭必须面对的下一个严峻挑战。对于许多患儿家长而言,“排异”一词常与痛...
2026-03-10
-
肝转移癌-肠癌术后三年肝上发现占位,肝胆外科评估后二次手术切
引言:当转移的阴影再次降临 对于许多结直肠癌患者而言,成功完成初次根治性手术,意味着赢得了一场至关重要的战役。术后的康复之路并非总是一帆风顺。据统计,高达50%至70%的结直肠癌患者在术后会出现肝转移,其中一部分甚至在术后三年内,于定期复查中发现肝脏出现了新的“占位性病变”。这无疑是给患者和家庭投下的一片沉重阴影。当影像报告上出现“肝内多发占位,考虑转移瘤可...
2026-03-08
-
软骨样汗管瘤-汗腺肿瘤
摘要 软骨样汗管瘤,亦称皮肤混合瘤,是一种起源于汗腺、临床上较为罕见的良性皮肤附属器肿瘤。其病理学特征为上皮细胞与间质成分(尤其是软骨样基质)的混合性增生,形态多样,易与其他皮肤肿瘤混淆。本文旨在系统阐述软骨样汗管瘤的流行病学特征、病因与发病机制、临床病理学特点、诊断与鉴别诊断、治疗策略及预后,以期为临床医生与病理科医师提供全面的参考,促进对此类疾病的认识与...
2026-04-15
-
螺旋腺瘤-痛性结节,大汗腺来源
摘要 汗腺螺旋腺瘤是一种临床上相对少见但特征显著的皮肤良性肿瘤,其核心临床特征为具有自发或受压后出现的阵发性锐痛,使其常被描述为“痛性结节”。该肿瘤起源于汗腺导管,尤其在向大汗腺(顶泌汗腺)分化方面具有明确的组织学证据。本文旨在系统阐述汗腺螺旋腺瘤的流行病学特点、临床表现、疼痛机制、组织病理学特征、诊断与鉴别诊断、治疗及预后,并对其潜在恶变风险进行探讨,以期...
2026-04-15
-
乳腺癌-乳腺癌保乳手术后,患者问要不要把另一边也切了预防
“另一边也切了预防”——在恐惧与理性间的抉择:乳腺癌保乳术后对侧预防性切除术的深度探讨 随着乳腺癌诊疗技术的进步,保乳手术已成为早期乳腺癌的标准治疗方式之一。手术完成后,一个沉重而普遍的问题常常萦绕在患者心头:“医生,为了以防万一,我要不要把另一边健康的也切了?”这并非一个简单的医学选择题,而是一个交织着对复发的恐惧、对健康的渴望、对身体完整性的认知以及对未...
2026-03-06
-
癌-血糖突然升高伴消瘦,内分泌科医生让查
在临床诊疗中,内分泌科医生时常会遇到一类特殊的患者:他们既往没有糖尿病史,却在短期内出现难以解释的血糖显著升高,同时伴有进行性的、无明显原因的体重下降。当常规的降糖治疗效果不佳,或血糖波动难以用普通2型糖尿病解释时,经验丰富的医生往往会将目光投向腹腔深处的一个重要器官——,并建议进行针对性检查以排除癌的可能。这种关联并非偶然,而是源于独特的生理结构和癌对内分...
2026-03-11
-
血栓素-血小板聚集
摘要 :血栓形成是心血管疾病的主要病理基础,而血小板聚集是血栓形成的核心环节。血栓素A2(TXA2)作为花生四烯酸代谢的关键产物,是体内最强的血小板聚集促进剂和血管收缩剂之一。本文系统阐述了血栓素在血小板聚集过程中的分子机制,包括其生物合成途径、信号转导通路以及对血小板活化、黏附、聚集和释放反应的调控作用。文章梳理了基于血栓素通路的关键抗血小板药物(如阿司匹...
2026-03-22
-
血小板活化因子- PAF
血小板活化因子:一种多功能磷脂介质的生物学特性与病理生理意义 摘要 血小板活化因子(Platelet-Activating Factor, PAF)是一种具有强大生物活性的磷脂类介质,化学名称为1-O-烷基-2-乙酰基-sn-甘油-3-磷酸胆碱。自1972年被发现并以其激活血小板的能力命名以来,PAF的研究已远远超出了血液学的范畴。本文旨在系统综述PAF的合...
2026-03-23
-
过敏性紫癜-下肢紫癜,关节痛,腹痛,血尿
过敏性紫癜,作为一种以全身性小血管炎为病理核心的疾病,其临床表现复杂多样,但最具特征性且常令临床医生警惕的,是一组由皮肤、关节、胃肠道及肾脏系统受累构成的四联征:下肢紫癜、关节痛、腹痛和血尿。这四大症状不仅是疾病活动的窗口,更深刻揭示了免疫炎症反应在不同器官系统的“足迹”,对于疾病的早期识别、分型诊断与预后评估具有至关重要的意义。 一、 皮肤宣言:下肢紫癜—...
2026-03-26
-
腹痛-肚子疼了十年查不出原因,疼痛科医生说试试神经阻滞
李薇(化名)的日历,是以“疼”和“不疼”来标记的。过去十年,三千多个日夜,一种深藏在腹部深处的、难以名状的疼痛如影随形。它不是尖锐的刀割,也非明确的绞痛,而是一种持续的、弥漫的钝痛与灼烧感交织的折磨,时轻时重,却从未真正离去。 十年间,她的足迹遍布了这座城市几乎所有三甲医院的消化内科、普外科、妇科、甚至风湿免疫科。胃镜、肠镜做了无数次,报告上最多写着“浅表性...
2026-04-11
-
血管性水肿-眼睑口唇肿胀,可伴喉头水肿
引言:一种突发的“面具”与潜在的风险 想象一下,一觉醒来,发现自己的眼皮肿得像核桃,嘴唇厚如香肠,皮肤紧绷发亮,却无明显痛痒。这并非电影特效,而是血管性水肿患者可能遭遇的真实场景。血管性水肿,也称为血管神经性水肿或巨大性荨麻疹,是一种因皮肤和黏膜深层小血管扩张、通透性增加,导致组织液快速积聚的局限性水肿^。它好发于皮下组织疏松的区域,眼睑、口唇、外生殖器是“...
2026-03-29
-
腿痛-腿痛当关节炎治了半年,血管外科查出下肢动脉闭塞
在骨科门诊,因腿痛就诊的患者中,有相当一部分的病因并非源自骨骼或关节本身。其中,下肢动脉硬化闭塞症(ASO)因其早期症状的“迷惑性”——尤其是与骨关节炎相似的疼痛感——而常被误诊或漏诊。患者可能经历长达数月的“关节炎”治疗却收效甚微,直至疼痛加剧、出现皮肤颜色改变甚至溃疡,才最终在血管外科找到症结所在。这种曲折的就医历程,凸显了提高对下肢动脉闭塞这一“沉默杀...
2026-03-07
-
尿潴留-尿不出来当上火,急诊科导尿后查出前列腺重度增生
引言:一次急诊室的紧急救援 深夜的急诊室,灯火通明。一位面容痛苦、坐立不安的中年男性被家人搀扶进来,他双手紧捂下腹,额头渗出细密的汗珠,嘴里反复念叨着“尿不出来,憋得慌,肯定是最近上火厉害了”。这并非罕见的场景,许多男性在遭遇急性排尿困难时,第一反应常归咎于“上火”、劳累或饮水不足。随后的检查结果往往出人意料:经过紧急导尿缓解了急性尿潴留后,进一步的超声检查...
2026-03-14
-
白血病-孩子低烧半个月,血常规正常,三个月后确诊白血病,血液
引言:一个“正常”结果带来的麻痹与挑战 在儿科门诊,发热是最常见的就诊原因之一。当伴随发热的孩子拿到一份看似“正常”的血常规报告时,家长和部分初诊医生往往会松一口气,倾向于诊断为普通病毒感染,并采取观察或常规对症治疗。临床中不乏这样的案例:孩子持续低烧半个月甚至更久,反复检查血常规均无显著异常,却在数月后被确诊为白血病。这种“血常规正常”的表象,如同一层迷雾...
2026-03-10
-
醛固酮-盐皮质激素
醛固酮-盐皮质激素:生理调控、病理失衡与治疗新视野 摘要 醛固酮作为人体内最主要的盐皮质激素,是维持水盐平衡与血压稳态的核心激素。它通过与盐皮质激素受体(MR)结合,在肾脏、心血管等多系统中发挥关键的调节作用。其分泌主要受肾素-血管紧张素系统(RAS)、血钾及血钠浓度等精密调控。醛固酮-盐皮质激素轴的过度激活,是高血压、心力衰竭、慢性肾脏病等多种心血管代谢疾...
2026-03-21
-
肺癌-体检胸片正常,一年后咳血查出肺癌,影像科医生说胸片有盲
在众多令人扼腕的医疗叙事中,这样的情节反复上演:一位中年高管,生活自律,坚持每年参加公司组织的全面体检,报告上“胸片未见异常”的字样年复一年,让他对自身健康充满信心。某一天,持续的干咳或痰中偶然出现的血丝打破了平静,进一步的CT检查结果却如晴天霹雳——肺癌,且已非早期。当事人与家属的困惑与震惊无以复加:“明明年年体检都正常,怎么会突然得癌,还是晚期?”类似的...
2026-03-07
-
褪黑素-睡眠
在人类生命的三分之一时间里,我们处于睡眠状态。这一看似被动的过程,实则由一套精密的生物系统所驱动,其中,一种被称为“褪黑素”(Melatonin)的激素扮演着核心角色。它如同夜幕降临时悄然亮起的“信号灯”,向身体发出“准备入睡”的指令,协调着我们的昼夜节律与睡眠-觉醒周期。随着现代社会生活节奏加快、光污染加剧以及电子屏幕的普及,睡眠障碍已成为全球性的公共卫生...
2026-03-21
-
骨转移癌-肺癌术后两年腰疼,以为腰肌劳损,骨扫描发现多处骨转
引言:被忽视的疼痛信号 在肺癌治疗取得阶段性胜利——成功手术后,患者及其家庭往往沉浸在康复的喜悦中,将生活重心转向身体机能的恢复与生活质量的提升。恶性肿瘤的潜在威胁并未完全消散。术后两年,本应是巩固疗效、定期随访的关键时期,一些看似普通的身体不适,如腰背部疼痛,却可能隐藏着疾病复发的危险信号。许多患者会下意识地将这种疼痛归咎于常见的“腰肌劳损”,或因术后活动...
2026-03-07
-
食管癌-吞咽梗阻感半年,胃镜发现食管全周狭窄
引言 食管癌是我国高发的消化道恶性肿瘤之一,其典型临床症状常表现为进行性吞咽困难、异物感及胸骨后疼痛。当患者出现长达半年的吞咽梗阻感,并通过胃镜检查发现食管全周性狭窄时,这通常提示病变已进入中晚期阶段,临床处理面临严峻挑战。全周性狭窄意味着肿瘤已沿食管壁环形浸润生长,严重阻碍食团通过,并显著影响患者的生活质量与营养状况。本文旨在系统阐述此类病例的病理机制、诊...
2026-03-07
-
黑色素刺激激素- MSH
黑色素细胞刺激素(Melanocyte-Stimulating Hormone, MSH)传统上被认知为一种调节皮肤色素沉着的垂体多肽激素。随着研究的深入,其角色已远远超越了最初的界定。现代医学揭示,MSH是一种具有广泛生理功能的内源性神经免疫调节肽,在炎症调控、能量代谢乃至神经保护等多个方面发挥着关键作用。本文旨在系统梳理MSH的分子特征、生理病理功能及其...
2026-03-19
-
雌三醇- E3
摘要 雌三醇(Estriol, E3)作为人体内三种主要天然雌激素之一,其生理角色与临床价值独特而关键。它不仅是妊娠期评估胎儿-胎盘功能的核心指标,也在更年期健康管理中发挥着重要作用。本文将从雌三醇的生化特性、生理功能、临床检测方法及其在产科、妇科及相关疾病诊疗中的应用进行全面阐述,并探讨其在医学研究与未来临床应用中的潜在价值。 一、雌三醇的生化基础与生理特...
2026-04-06
-
癌-过长几十年没管,反复糜烂最后确诊癌变
引言 在男性健康领域,一些看似寻常的生理状况,若经年累月地忽视,可能潜藏着巨大的健康风险。过长,便是这样一个普遍存在却又常被轻视的问题。许多男性,尤其是中老年群体,可能数十年都未对其加以关注和干预,殊不知,长期的过长状态,与一种相对罕见但后果严重的恶性肿瘤——癌之间,存在着千丝万缕的联系。临床上,不乏因过长、部位反复出现糜烂、溃疡而拖延就诊,最终被确诊为癌的...
2026-03-10
-
钙质沉着-皮下钙化
在临床影像学检查或皮肤科门诊中,“皮下钙化灶”或“钙质沉着”是一个常被提及的发现。它指代的是钙盐(主要为磷酸钙和碳酸钙)在皮肤及其下方软组织中的异常沉积,形成肉眼不可见但可通过影像或触诊感知的致密硬结或斑块。这一现象既可能是既往组织损伤愈合后遗留的“疤痕”印记,也可能是体内代谢失衡发出的警示信号。因其成因复杂、表现多样,且多数情况下虽为良性,却仍需与恶性病变...
2026-03-20
-
食管癌-吃东西总觉得噎得慌,做了胃镜没事,半年后确诊食管癌
引言:一个常见的症状与一次“安心”的检查 在消化内科门诊,患者主诉“吃东西总觉得噎得慌”是极为常见的现象。这种吞咽时的哽噎感,医学上称为“吞咽困难”或“吞咽不适”,其背后原因多样,从良性的功能紊乱到严重的器质性病变皆有可能。对于这一症状,胃镜检查(食管胃十二指肠镜检查)被公认为评估上消化道、尤其是食管黏膜状况的“金标准”。它能直接观察食管内壁,发现炎症、溃疡...
2026-03-07
-
夜尿多-夜尿三四次当肾虚,泌尿外科查出前列腺增生压迫尿道
夜间睡眠时起床排尿超过2次,医学上称为夜尿症。这一症状严重影响睡眠质量和日间精神状态,长期如此还可能诱发焦虑、抑郁等心理问题,并增加跌倒风险。当症状出现,尤其在中老年男性群体中,一个普遍存在的认知误区是将其归因于“肾虚”。中医理论中的“肾虚”确实可能包含夜尿频多,尤其是肾阳虚或肾气虚时,常伴腰膝酸软、畏寒怕冷等症状。现代医学研究表明,夜尿增多是一个多因素症状...
2026-03-06
-
肌酐-肾功
在现代医学的体检报告中,血清肌酐(SCr)是一个常客,其数值的微小波动常常牵动着人们的神经。作为肌肉代谢的终产物,肌酐本身并无毒性,却因其在血液中浓度的稳定性与肾脏滤过功能的直接相关性,被赋予了评估肾功能的核心使命。肌酐数值的解读并非简单的“非黑即白”,其背后隐藏着复杂的生理机制和影响因素。本文将深入剖析肌酐与肾功能之间的深层联系,探讨其临床意义、解读误区以...
2026-04-02
-
肿瘤标志物-筛查,随访
在癌症防控与管理的全链条中,早期发现与有效监测是改善预后的两大基石。肿瘤标志物检测,通过分析血液、体液等样本中由肿瘤细胞产生或机体应对肿瘤而异常改变的物质,为此提供了重要的辅助手段^。其在临床实践中主要扮演两大核心角色:一是作为面向特定高危人群的早期筛查“哨兵”,力图在症状出现前捕捉风险信号;二是作为已确诊患者的随访“导航仪”,用于评估疗效、预警复发及判断预...
2026-04-07
-
食管癌-食管癌术后只能吃流食,营养科医生说这样搭配不会营养不
精细喂养,强健体魄——食管癌术后流食期科学营养搭配全解析 引言:跨越进食困境,构筑营养基石 食管癌手术是治疗该疾病的重要手段,但术后往往伴随一个严峻的挑战:吞咽功能的重建与限制。在术后初期,为保护吻合口、减少消化道负担,医生通常会要求患者经历一段时间的“流食期”。对于患者和家属而言,“只能吃流食”常与“营养不足”、“身体虚弱”的担忧紧密相连。现代临床营养学的...
2026-03-23
-
甲状腺髓样癌-甲状腺结节伴腹泻,降钙素明显升高
在常规体检或门诊中,甲状腺结节与腹泻常被视作独立的健康问题分别处理。甲状腺结节多数为良性,仅需定期观察;腹泻则常归因于感染、饮食不当或肠易激综合征等。当这两种情况在同一个体身上并存,特别是当实验室检查揭示出血清降钙素水平异常显著升高时,临床医生需保持高度警惕。这一组合可能是甲状腺髓样癌发出的重要信号。甲状腺髓样癌虽然仅占所有甲状腺癌的约5%-10%,但其具有...
2026-03-12
-
喉癌-声音嘶哑三个月当咽炎治,喉科医生让做喉镜发现了声带白斑
从“咽炎”到“声带白斑”:三个月的嘶哑与一次关键的喉镜 引言:被忽略的“小毛病” 李建国第一次觉得喉咙不对劲,是在去年开春。作为一名出租车司机,他总感觉嗓子眼里像卡了什么东西,吞咽时有异物感,起初以为是咽炎或上火,自行服用润喉片了事。类似的情况也发生在张大爷和尉大伯身上,他们都经历了长达数月的声音嘶哑,初期都误以为是感冒或普通喉炎,直到症状持续不退,才在家人...
2026-03-06
-
食欲肽- orexin
食欲肽-orexin:连接睡眠、能量稳态与神经疾病的关键神经肽系统 摘要 食欲肽(Orexin),亦称为下丘脑泌素(Hypocretin),是一对由下丘脑外侧区(Lateral Hypothalamus, LH)和穹窿周区(Perifornical Area, PFA)神经元合成和分泌的神经肽。自1998年被两个独立研究小组几乎同时发现以来,其在调控睡眠-觉...
2026-03-22
-
胱抑素C-肾功敏感指标
胱抑素C:揭秘肾功能的敏感预警者与临床评估新维度 在临床医学领域,对肾功能的准确评估是诊断、治疗及预后判断各类肾脏及相关疾病的关键基石。传统指标如血清肌酐(Scr)和尿素氮(BUN)虽应用广泛,但易受年龄、性别、肌肉量、饮食及炎症状态等多种非肾脏因素干扰,尤其在评估早期、轻度肾功能损伤时存在明显滞后性。近年来,一种名为胱抑素C(Cystatin C, Cys...
2026-04-05
-
膀胱癌-膀胱癌电切术后反复复发,泌尿外科医生说这次要全切
——一名反复复发膀胱癌患者的治疗心路与医学反思 摘要 :膀胱癌,作为泌尿系统最常见的恶性肿瘤之一,其治疗与预后高度依赖于病理分期与分级。对于非肌层浸润性膀胱癌,经尿道膀胱肿瘤电切术(TURBT)是标准且保留器官的首选治疗方式。高复发率是其临床面临的主要挑战。本文通过构建一个虚构但基于典型临床案例的患者叙事,深度剖析膀胱癌患者在经历多次TURBT术后仍反复复发...
2026-03-07
-
药物性红斑狼疮-药物诱发,抗组蛋白抗体
药物性红斑狼疮是指由服用特定药物后诱发产生的、临床表现与系统性红斑狼疮相似的自身免疫综合征。 其核心特征在于,通常在停用致病药物后,临床症状和实验室指标可得到缓解或消失,这与病因不明的特发性SLE形成重要区别。 在众多实验室指标中,抗组蛋白抗体(AHA)的阳性检出是DILE一个突出且常见的血清学特征。 组蛋白是细胞核内负责包装DNA的碱性蛋白质,抗组蛋白抗体...
2026-03-20
-
霍奇金淋巴瘤-年轻女性颈部淋巴结肿大,病理科医生看切片说是经
从颈部肿块到镜下诊断:一例年轻女性经典型霍奇金淋巴瘤的临床病理探析 引言:当颈部出现无痛肿块 在门诊中,一位年轻女性因无意间触及颈部一侧的无痛性肿块而就诊,这种情况在临床上并不少见。颈部淋巴结肿大是多种疾病的共同表现,从普通的感染到恶性肿瘤均有可能。对于年轻人群,尤其是年轻女性,在排除常见炎症后,淋巴造血系统肿瘤,特别是霍奇金淋巴瘤,是需要重点鉴别的疾病之一...
2026-04-11
-
宫颈癌-宫颈癌术后三年复查正常,妇科医生说可以试着要孩子
引言:从“痊愈”到“孕育”的新征程 当宫颈癌术后的时钟走过三年,且复查指标持续稳定时,这标志着抗癌战役取得了阶段性的重大胜利,身体进入了相对稳定的康复期。许多女性心中那份被疾病暂时搁置的生育渴望重新变得强烈。现代医学的发展,特别是肿瘤治疗与生殖医学的交叉融合,已为许多符合条件的宫颈癌康复者打开了成为母亲的大门。医生的一句“可以试着要孩子”,并非轻率的鼓励,而...
2026-03-06
-
三阴性乳腺癌-年轻女性乳腺癌,病理三阴性,预后差但化疗敏感
引言:一个特殊的临床困境 乳腺癌是全球女性最常见的恶性肿瘤,而在其复杂的分子分型图谱中,三阴性乳腺癌(Triple-Negative Breast Cancer, TNBC)构成了一个独特且严峻的临床挑战。它特指雌激素受体(ER)、孕激素受体(PR)和人表皮生长因子受体2(HER2)均为阴性的乳腺癌亚型。这一“三阴”特性,使其失去了内分泌治疗和抗HER2靶向...
2026-03-06
-
视网膜母细胞瘤-儿童白瞳症,眼底检查发现
“猫眼”警讯:揭秘儿童视网膜母细胞瘤的早期识别与诊治 引言:一道不应被忽视的“白光” 在温馨的亲子时光中,父母常为孩子拍照留念。当闪光灯下,孩子瞳孔中反射出的不是常见的“红眼”,而是一道诡异、清晰的黄白色光斑——状似猫眼在暗夜中的反光时,这份记录可能正隐藏着一个危险的信号。这被称为“白瞳症”或“猫眼征”,是婴幼儿最常见的眼内恶性肿瘤——视网膜母细胞瘤(Ret...
2026-03-07
-
风湿热-链球菌感染后,游走性关节炎心脏炎
风湿热的双面印记:游走性关节炎与心脏炎的临床探析 摘要 :风湿热是由A组乙型溶血性链球菌感染后触发的自身免疫反应,其临床表现复杂多样,其中游走性关节炎和心脏炎是最具特征性的两大核心表现。前者是患者最常见的主诉,表现为多个大关节的红、肿、热、痛在数日间此起彼伏;后者则是决定疾病预后的关键,可能导致永久性的心脏瓣膜损害,发展为风湿性心脏病。本文系统梳理了这两种主...
2026-03-24
-
视黄醇结合蛋白4-胰岛素抵抗
视黄醇结合蛋白4(Retinol-Binding Protein 4, RBP4)长期以来被认为是负责在血液中特异性转运维生素A(全反式视黄醇)的主要载体蛋白,对于维持视觉、免疫及上皮组织健康至关重要。自21世纪初以来,一系列突破性研究揭示了RBP4的另一重关键身份:一种由脂肪组织分泌的脂肪因子,其在肥胖、2型糖尿病、代谢综合征等疾病的胰岛素抵抗发生发展中扮...
2026-03-19
-
膀胱鳞癌-长期留置尿管,膀胱鳞癌
摘要 膀胱鳞状细胞癌是膀胱癌的一种特殊病理类型,其发生与长期的慢性刺激和炎症密切相关。在众多刺激因素中,长期留置导尿管扮演了一个不容忽视的角色。本文旨在系统梳理长期留置尿管导致膀胱鳞癌的流行病学数据、病理生理机制、临床表现及防治策略,以期为临床高风险人群的识别、监测与管理提供参考。 一、 引言:背景与现状 膀胱鳞状细胞癌在全球范围内约占所有膀胱肿瘤的1%至7...
2026-04-10
-
乳腺癌-洗澡自摸发现肿块,超声提示BI-RADS 4类
从“自摸发现”到“4类警示”:乳腺癌筛查与诊断的关键一步 引言:自我检查——不可替代的初级防线 乳腺癌是全球女性最常见的恶性肿瘤之一,其早期发现与及时治疗对预后至关重要。在专业筛查尚未普及或间隔期内,规律的自我检查(Breast Self-Examination, BSE)是一项简单、经济且有效的初级预警手段。据统计,约80%的乳腺癌最初是由患者自己发现的。...
2026-03-06
-
衣原体肺炎-婴幼儿肺炎,沙眼衣原体
在婴幼儿肺炎的诸多病原体中,沙眼衣原体(Chlamydia trachomatis, CT)占据着独特且重要的地位。与典型细菌或病毒引起的急性肺炎不同,沙眼衣原体肺炎起病隐匿、病程迁延,症状常不典型,易被家长甚至初诊医生忽视,但其对婴幼儿呼吸系统的潜在影响不容小觑。该病主要通过母婴垂直传播,常见于1至3个月龄的婴儿,是6个月以下婴儿肺炎的重要病原之一,国内研...
2026-03-25
-
泡沫尿-尿里泡沫多以为蛋白尿,肾内科医生接了一杯水说放十分钟
引言:诊室里的常见误会与一杯水的智慧 在肾内科门诊,一个反复上演的场景是:患者神色紧张地走进诊室,描述自己发现小便中泡沫增多,并坚信这是“蛋白尿”的标志,是肾脏发出的“求救信号”。他们带着从网络搜索得来的零碎知识和深深的忧虑前来。经验丰富的肾内科医生往往并不急于安排复杂的检查,而是可能先从容地接一杯清水,平静地说:“别急,我们等十分钟再看。” 这个看似简单的...
2026-03-11
-
宫颈癌-连续三年TCT正常,第四年查出宫颈癌,妇科医生取出当
当三年正常遇上第四年确诊:宫颈癌筛查的“漏网之鱼”与应对策略 宫颈癌筛查,尤其是薄层液基细胞学检查(TCT),已被公认为早期发现宫颈病变、降低宫颈癌发病率和死亡率的关键手段。临床上偶有案例报告显示,部分女性连续三年TCT检查结果均显示正常,却在第四年被确诊为宫颈癌。这一看似矛盾的现象,不仅给患者带来巨大的心理冲击,也对现有的筛查体系提出了深刻的拷问。本文将深...
2026-03-06
-
横纹肌肉瘤-儿童头颈部肿块,病理腺泡型
儿童头颈部肿块是儿科临床的常见问题,其病因复杂,涵盖炎症、先天畸形、良性肿瘤及恶性肿瘤等多种可能。在众多恶性实体肿瘤中,横纹肌肉瘤(Rhabdomyosarcoma, RMS)是儿童期最常见的软组织肉瘤,约占儿童所有恶性肿瘤的6.5%。横纹肌肉瘤可起源于全身任何部位,但头颈部是其好发区域之一,约占所有病例的35%。根据组织病理学特征,横纹肌肉瘤主要分为胚胎型...
2026-03-13
-
过敏性紫癜-孩子腿上起红点当过敏,儿科医生说这是血管炎要查尿
引言:被误解的“红点”——从皮肤到系统的警报 孩子活泼好动,腿上突然出现一片片红色斑点,不痛不痒,这场景在许多家庭中都曾上演。多数家长会将其归咎于蚊虫叮咬、湿疹或食物过敏,采取外用药膏或抗过敏药物处理。若这些红点具有几个关键特征: 集中分布于双小腿、脚踝及臀部,且呈对称性;颜色为鲜红或紫红,微微凸起于皮肤;最关键的是,用手指按压后颜色不消退 ,那么,这极有可...
2026-03-29
-
脑转移癌-乳腺癌术后五年突然头痛呕吐,神经外科会诊发现脑转移
五年平稳期后的颅内警报:一例乳腺癌术后脑转移的深度剖析 摘要 :本文通过一例乳腺癌根治术后五年,以突发头痛、呕吐为首发症状,最终确诊为脑转移瘤的典型病例,系统梳理了乳腺癌脑转移的常见临床症状谱、病理生理机制、现代影像学与分子诊断方法,并探讨了以神经外科为主导的多学科综合治疗策略。文章强调,对于有乳腺癌病史的患者,即使术后多年,任何新发的神经系统症状都需高度警...
2026-03-07
-
腹水-腹水查不出原因,消化科医生让抽了腹水送病理找到癌细胞
腹水,即腹腔内异常积聚的液体,是多种疾病状态下常见的临床表现。当患者出现腹水,尤其是常规检查难以明确病因时,临床医生便面临着一项诊断挑战。消化科医生在面对“查不出原因”的腹水时,决定抽取腹水送病理学检查以寻找癌细胞,是一条关键且具有转折意义的诊断路径。这一决策不仅可能揭开腹水形成的隐匿面纱,更可能直接指向恶性肿瘤腹腔转移这一严重状况,从而彻底改变疾病的诊断分...
2026-04-14
-
跖疣-足底疼痛性角化斑,HPV
摘要 跖疣,作为一种发生于足底的常见皮肤良性增生性病变,其本质是由特定型别的人类瘤病毒(HPV)感染所引发。本文旨在系统梳理跖疣的病原学基础、临床表现、流行病学特征、诊断与鉴别诊断、治疗策略及预防措施,重点剖析HPV病毒在跖疣发生发展中的核心作用,以期为临床认知与公众科普提供一份全面的参考。 一、 病原学探源:HPV病毒家族中的“足部特攻队” 跖疣的病原体明...
2026-03-31
-
鼻咽癌-早上回吸性涕血以为是上火,耳鼻喉科医生用镜子一看发现
引言:一个被忽视的“小毛病” 凌晨五点,王先生像往常一样醒来,喉咙发干,习惯性地用力回吸了一下鼻腔,随后将一口痰吐入洗手池。水中,一丝若隐若现的暗红色血丝让他心头一紧。“又上火了。”他暗自嘀咕,喝了一大杯凉茶,并未放在心上。接下来的几周,这一幕几乎每天清晨都会上演,血量时多时少,断断续续。直到一次感冒后,单侧耳朵开始发闷,听力似乎也下降了,他才在家人催促下走...
2026-03-07
-
血管圆线虫病-嗜酸性粒细胞脑膜炎,吃福寿螺
引言:从一道菜到一场公共卫生警示 曾经,福寿螺因其个头大、肉质丰腴,一度被作为经济螺种引入并端上餐桌,成为一些地方特色的“美味”。短短数十年间,它的形象发生了颠覆性的转变——从备受推崇的食用螺,变成了谈之色变的“健康杀手”与“生态入侵者”。这一转变的核心,是一种名为广州管圆线虫的寄生虫,以及由其引发的、以剧烈头痛和神经系统损害为主要特征的嗜酸性粒细胞脑膜炎。...
2026-04-06
-
骨痛-全身骨痛当风湿治两年,骨科医生让查血发现多发瘤
在骨科或风湿免疫科门诊,因“全身骨痛”前来就诊的患者屡见不鲜。许多患者,尤其是中老年人,其疼痛常被初步归因于骨质疏松、骨关节炎或风湿性疾病,并接受相应的对症治疗。当疼痛持续不缓解、常规治疗无效时,一个更具侵袭性的病因——多发性瘤,便可能隐藏在表象之下。临床上,患者因骨痛被当作“风湿”治疗数月甚至数年,最终通过一次偶然或常规的血液检查发现异常指标,从而确诊为多...
2026-03-07
-
肥大细胞增生症-色素性荨麻疹,Darier征阳性
摘要 色素性荨麻疹,作为皮肤型肥大细胞增生症中最常见的临床类型,是一种以皮肤肥大细胞异常聚集、活化并释放多种介质为特征的疾病。其核心临床标志是Darier征阳性,即皮损在受到轻微摩擦或搔抓后出现风团和潮红反应。本文旨在系统阐述色素性荨麻疹的病因学、临床表现、诊断依据、治疗策略及预后管理,尤其聚焦于其作为肥大细胞增生症亚型的病理生理基础,以期为临床工作者提供全...
2026-03-25
-
尿频-尿频一小时一次当炎症治,内分泌科查血糖发现糖尿病
引言:一个常见的症状,一个被忽视的关联 在繁忙的现代生活中,许多人可能都曾经历过排尿次数异常增多的困扰。当排尿频率达到一小时一次,甚至更短间隔时,生活节奏和睡眠质量便会受到严重干扰。通常,人们会下意识地将此归咎于“上火”或“炎症”,首诊科室也往往是泌尿外科。临床实践中不乏这样的案例:患者按尿路感染治疗多时,症状却反复发作或改善甚微,直至在医生的建议下检测血糖...
2026-03-13
-
缺铁性贫血-女性缺铁性贫血补铁三个月没好转,消化科医生让查大
当补铁无效时,为何消化科医生总让你查大便?——揭秘缺铁性贫血背后的“隐形失血” 引言:补铁无效的困惑与隐忧 “我每天都在按时吃铁剂,猪肝、菠菜、红枣也没少吃,为什么三个月过去了,血红蛋白还是纹丝不动?”这不仅是许多缺铁性贫血患者,尤其是女性患者的共同困惑,更是一个不容忽视的健康警报。缺铁性贫血看似是“缺什么补什么”的简单逻辑,但当常规补铁治疗遭遇瓶颈时,往往...
2026-03-31
-
组胺-过敏
引言:无处不在的“警报分子” 在现代社会的日常生活中,过敏已成为困扰数亿人的常见健康问题。从春季的花粉、尘螨到餐桌上的海鲜、坚果,从宠物的毛发到日常的药物,过敏原无处不在,引发的反应也千差万别,轻则打喷嚏、皮肤瘙痒,重则可能导致喉头水肿、过敏性休克甚至危及生命。在这些复杂多变的生理反应背后,有一个关键的“信使分子”扮演着核心角色——组胺(Histamine)...
2026-03-23
-
黑便-黑便三天当胃出血治,输血后血红蛋白不升,血液科医生查出
——黑便背后的真相:从“胃出血”到“瘤”的诊疗迷途与启示 摘要 本文详细回顾并分析了一例因“黑便三天”入院,初期被诊断为胃出血并接受常规治疗,但输血后血红蛋白持续不升,最终经血液科会诊确诊为多发性瘤的复杂病例。文章旨在通过这一典型病例,系统阐述多发性瘤(MM)的消化道出血等非典型临床表现,剖析在诊疗过程中可能出现的思维定式与诊断陷阱,总结从消化系统症状入手识...
2026-03-07
-
胸膜间皮瘤-石棉接触史胸水查不出原因,胸外科胸腔镜活检确诊
在呼吸科或胸外科门诊,我们有时会遇到这样一类患者:他们多为中老年男性,有明确的石棉接触史(可能是在数十年前的建筑、造船或矿业工作中),因逐渐加重的胸闷、气促和持续性胸痛前来就诊。胸部影像学检查,如X光或CT,往往提示存在中到大量的胸腔积液,即通常所说的“胸水”^。反复的胸腔穿刺抽液进行常规生化、细胞学检查,却常常回报为“未见恶性肿瘤细胞”或“渗出液,原因待查...
2026-03-07
-
胃动素-胃肠运动
摘要 胃动素是一种由十二指肠和空肠上段黏膜EC2细胞分泌的、由22个氨基酸组成的多肽类激素。自其被发现以来,其在调节胃肠道运动,特别是消化间期移行性复合运动中的核心作用,一直是消化生理学研究的重要领域。本文旨在系统阐述胃动素的分子特性、生理功能、作用机制,并深入探讨其在多种胃肠动力障碍性疾病中的病理生理意义及潜在临床价值。 一、 胃动素的分子生物学特性与分泌...
2026-03-18
-
血沉-非特异性炎症指标
在琳琅满目的现代医学检验项目中,红细胞沉降率(Erythrocyte Sedimentation Rate, ESR),简称“血沉”,犹如一位沉稳的“老者”。自1897年波兰医生埃德蒙·伯恩斯坦首次描述其与疾病状态的相关性以来,血沉检测已跨越一个多世纪,至今仍在全球各级医疗机构中广泛应用。其核心价值在于,作为一种 非特异性炎症指标 ,它能敏感地反映机体是否存...
2026-04-07
-
前列腺癌-前列腺癌不做手术只打针,泌尿外科医生说这也是一种选
在诊断出前列腺癌后,许多患者和家属的第一反应往往是寻求“根治”,而根治性前列腺切除术常被视为达成这一目标的“标准答案”。随着医学研究的深入与临床经验的积累,泌尿外科医生的治疗图谱早已变得更加丰富和精细。对于相当一部分患者,“不做手术,只打针”——即采用以药物注射为主的雄激素剥夺治疗(ADT,俗称“内分泌治疗”),不仅是一种可行的选择,在某些情况下甚至是更优的...
2026-03-06
-
肠癌-肠癌术后造口患者的生活,肛肠科护士说很多人比术前活得体
从“印记”到“勋章”:肠癌造口患者的体面新生之路 引言:被重新定义的“体面” “体面”一词,常与光鲜的外表、得体的举止和社会角色的成功扮演相关联。对于罹患肠癌并接受造口手术的患者而言,疾病与手术似乎一度将这种“体面”击得粉碎——身体功能的改变、隐私的暴露、对异味和泄漏的恐惧,无不冲击着个体的自尊与社交自信^。在肛肠科的病房与随访故事中,一种新的“体面”观正在...
2026-03-09
-
趋化因子-白细胞募集
摘要 趋化因子是一类结构相似、分子量较小的细胞因子家族,其主要功能是引导免疫细胞(尤其是白细胞)在生物体内定向迁移,这一过程被称为“趋化性”。白细胞募集是机体启动和调控炎症反应、免疫监视以及组织修复的核心环节,其精准性直接决定了免疫应答的效率与结局。本文旨在系统阐述趋化因子-白细胞募集轴的基本原理、分子机制、生理与病理作用,并探讨其在相关疾病诊疗中的转化潜力...
2026-04-09
-
催乳素瘤- PRL升高,溴隐亭治疗有效
摘要 催乳素瘤是临床上最常见的功能性垂体腺瘤,其核心特征是垂体泌乳素细胞异常增生并分泌过量的催乳素(PRL),导致高催乳素血症及相关临床症状^。该疾病对患者,尤其是育龄期女性的生殖健康及生活质量构成显著影响^。以溴隐亭为代表的多巴胺受体激动剂是国内外公认的一线药物治疗方案,其在降低血清PRL水平、缩小肿瘤体积及改善临床症状方面具有明确的疗效^。本文旨在系统阐...
2026-03-06
-
色素沉着息肉综合征-口唇黑斑肠息肉
在日常生活中,口唇周围出现黑斑常被误认为是普通的色素沉着或“胎记”。在某些情况下,这些看似不起眼的斑点,却可能是一种名为“色素沉着息肉综合征”(Peutz-Jeghers Syndrome, PJS)的罕见遗传性疾病发出的早期皮肤信号。这是一种以皮肤黏膜色素沉着和胃肠道多发息肉为特征的综合征,其背后隐藏着不容忽视的肠道健康风险乃至肿瘤易感性^。本文将深入解析...
2026-03-20
-
肝癌-手术切除了肝癌,五年没复发是不是就治愈了?肝胆外科医生
跨越五年里程碑:临床治愈与终身随访的辩证——一位肝胆外科医生的视角 引言:五年之期的希望与隐忧 “手术很成功,五年没复发,恭喜您!”在肝胆外科的诊室里,医生对复查结果良好的患者说出这句话时,总是带着由衷的喜悦。对于肝癌患者而言,术后五年无病生存是一个极具象征意义的胜利节点。大量临床数据表明,肝癌术后复发多集中在前三年,五年后复发概率会大幅下降。医学界普遍将“...
2026-03-09
-
乳腺癌-丈夫陪妻子做乳腺检查,自己顺便查了一下,结果查出乳腺
当“她”的疾病降临于“他”:一次乳腺检查引发的生命警示与思考 ——从一个“顺便检查”的真实故事说起 引言:一次“无心插柳”的检查,揭开被忽视的真相 在大多数人的认知图谱中,“乳腺癌”与女性形象紧密绑定,如同一个性别专属的标签。粉红丝带、女性健康月、针对女性的筛查宣传……这一切都构成了我们对这种疾病的主流叙事。一个看似偶然的事件,却像一枚投入平静湖面的石子,打...
2026-03-06
-
雀斑-遗传,日晒加重
第一章:雀斑的生物学本质与临床表现 雀斑(Ephelides)是一种常见的、主要分布于面部、颈部和手背等日光暴露区域的皮肤色素沉着性疾病。 其典型表现为直径1-5毫米的圆形、卵圆形或不规则形淡褐色至深褐色斑点,边界清晰,通常无自觉症状。 雀斑多在儿童期(5-12岁)开始显现,青春期时可能因激素变化而颜色加深、数量增多,成年后趋于稳定,但会随季节和日晒程度而变...
2026-04-07
-
肿胀性红斑狼疮-面部肿胀性红斑
在自身免疫性疾病谱系中,红斑狼疮以其复杂多变的临床表现令人瞩目。其中,肿胀性红斑狼疮(Lupus Erythematosus Tumidus, LET)作为一种相对罕见但特征鲜明的皮肤型红斑狼疮亚型,正逐渐受到临床与研究的更多关注。其最具标志性的表现——面部肿胀性红斑,不仅是一种独特的皮肤病理现象,更是免疫系统异常作用于皮肤的直观窗口,深刻影响着患者,尤其是...
2026-03-19
-
药物性红斑狼疮-药物诱发,停药可逆
药物性红斑狼疮:药物诱发的自身免疫反应及其可逆性探析 引言 在自身免疫性疾病的复杂谱系中,药物性红斑狼疮(Drug-Induced Lupus Erythematosus, DIL)是一个独特且具有重要临床启示意义的分支。它特指由特定药物触发,临床表现与特发性系统性红斑狼疮(SLE)相似,但通常在停用相关药物后症状可缓解甚至消退的综合征。这一“可诱发-可逆转...
2026-03-24
-
脑胶质瘤-脑胶质瘤术后复发,神经外科医生说这次不切了
十字路口上的生命抉择:脑胶质瘤术后复发的治疗转向 引言:一句不同以往的宣判 “王老师,您这次的复查结果出来了……肿瘤确实有复发的迹象。”神经外科李主任的语气一如既往地平稳专业,但顿了顿,他接下来说的话,却让坐在对面的王建军和家属瞬间愣住了,“我们这次的诊疗建议,和上次会有所不同。经过多学科团队(MDT)的详细评估,我们认为,这次 不主张再次进行手术切除 。”...
2026-04-08
-
雷诺现象-遇冷手指变白变紫
在日常生活中,我们偶尔会注意到自己或他人手指颜色在特定环境下发生奇异的变化:接触冷水、身处空调房或情绪激动时,指尖会突然失去血色,变得苍白如蜡,随后转为青紫,最终在恢复过程中呈现出异常的潮红,并伴有麻木、刺痛或灼热感。这并非简单的“冻僵”或“气血不足”,而是一种被称为雷诺现象(Raynaud‘s phenomenon)的临床综合征的典型表现。这种由肢端小动脉...
2026-03-20
-
黑色素聚集激素- MCH
一、 引言:从鱼类色素调节到哺乳动物中枢的“多面手” 黑色素聚集激素(MCH)最初因其在硬骨鱼类中调节皮肤色素细胞、使黑色素颗粒聚集以应环境变化的功能而被命名和认识。这一发现揭示了其在进化上的保守性。随后的研究证实,在哺乳动物中,MCH主要由下丘脑外侧区(LHA)和未定带的神经元合成与分泌,其表达和功能发生了显著扩展,成为中枢神经系统中一个举足轻重的信号分子...
2026-03-21