-
非精原细胞瘤-胚胎癌成分,化疗后肿瘤标志物下降
化疗应答的生化信号:非精原细胞瘤-胚胎癌成分患者肿瘤标志物下降的解读与临床启示 引言:肿瘤标志物在生殖细胞肿瘤管理中的基石作用 非精原细胞瘤(Non-Seminomatous Germ Cell Tumors, NSGCTs)是男性生殖细胞肿瘤中高度异质性的一类,其中胚胎癌(Embryonal Carcinoma)成分以其侵袭性强、增殖快速和转移风险高的特点...
2026-04-10
-
膀胱癌-无痛血尿膀胱镜发现菜花样肿物
无声的血尿与镜下的“菜花”:认识膀胱癌的典型信号与诊断之钥 在泌尿系统肿瘤中,膀胱癌以其相对高发性和早期症状的“欺骗性”而备受关注。其最典型的早期信号——无痛性肉眼血尿,常因不伴随疼痛而被患者忽视或误判。而当这种警报被捕捉,通过膀胱镜检查,医生往往能发现膀胱内壁生长出的形态不规则的“菜花样”肿物。从无痛血尿的悄然出现,到镜下“菜花”的直观显现,这一过程揭示了...
2026-04-10
-
肺结核-咳血胸痛,胸片空洞,痰涂片阳性
引言:一例典型病例的启示 深夜的急诊室,一位38岁的男性患者被轮椅推进来,他面容憔悴,以手捂胸,伴随着阵阵压抑的咳嗽。当护理垫递到他面前时,他咳出数口鲜红色、混有泡沫的痰液——这是典型的“咳血”(咯血)。他自述近两个月来反复午后低热、夜间盗汗、体重明显下降,近一周胸痛加剧,尤以深呼吸和咳嗽时为甚。这组症状组合—— 慢性消耗性症状(发热、盗汗、消瘦) 加上 呼...
2026-04-14
-
药物过敏-用药后皮疹,可致重症药疹
药物在人类与疾病的斗争中扮演着无可替代的角色,但与此药物不良反应也如影随形。其中,药物过敏反应是临床上较为常见且需要高度警惕的一类不良反应,而皮肤是其最常见的“报警器”。药物过敏皮疹,即药疹或药物性皮炎,是指药物通过口服、注射、吸入等途径进入人体后,免疫系统异常反应引发的皮肤黏膜炎症性疾病。绝大多数药疹为轻型,但少数可迅速发展为累及全身多器官系统的重症药疹,...
2026-03-29
-
雷诺现象-遇冷手指变白变紫
在日常生活中,我们偶尔会注意到自己或他人手指颜色在特定环境下发生奇异的变化:接触冷水、身处空调房或情绪激动时,指尖会突然失去血色,变得苍白如蜡,随后转为青紫,最终在恢复过程中呈现出异常的潮红,并伴有麻木、刺痛或灼热感。这并非简单的“冻僵”或“气血不足”,而是一种被称为雷诺现象(Raynaud‘s phenomenon)的临床综合征的典型表现。这种由肢端小动脉...
2026-03-20
-
脂联素-胰岛素敏感性
胰岛素抵抗是2型糖尿病、肥胖及代谢综合征等一系列重大代谢性疾病的共同病理生理基础,如何有效改善胰岛素敏感性已成为全球公共卫生领域的核心挑战。传统观点认为脂肪组织仅是能量储存的器官,然而近二十余年的研究彻底颠覆了这一认知,揭示脂肪组织是一个高度活跃的内分泌器官,能够分泌多种具有生物活性的脂肪因子,其中脂联素(Adiponectin, ADPN)因其卓越的胰岛素...
2026-03-19
-
肝癌-乙肝携带者多年不复查,肚子胀发现肝癌破裂出血
引言:被忽视的“小毛病”与致命的转折 在快节奏的现代生活中,许多人都背负着健康“历史问题”前行,其中慢性乙型肝炎病毒(HBV)携带者是一个庞大的群体。对于部分携带者而言,由于早期可能没有明显症状,加之对疾病进展的轻视或对长期服药的顾虑,定期复查常常被置于次要位置,甚至被完全遗忘。肝脏是一个“沉默的器官”,当其内的隐患悄然滋长、最终爆发时,往往已酿成无法挽回的...
2026-03-18
-
肝癌-肝癌术后五年没复发,患者问是不是根治了,医生没有直接回
引言:五年之期,希望与困惑并存 在肝癌的治疗征程中,“五年”是一个被赋予了特殊意义的时间标尺。对于经历了手术洗礼的患者而言,能够平安度过术后五年且无复发迹象,无疑是一个值得庆祝的里程碑。 它通常被视为临床治愈的重要参考标准,意味着患者体内的肿瘤负荷已被成功清除或得到长期有效控制,长期生存的概率显著提高。 当患者满怀期待地向医生求证“是否根治”时,得到的回答往...
2026-03-08
-
乳腺癌-洗澡自摸发现肿块,超声提示BI-RADS 4类
从“自摸发现”到“4类警示”:乳腺癌筛查与诊断的关键一步 引言:自我检查——不可替代的初级防线 乳腺癌是全球女性最常见的恶性肿瘤之一,其早期发现与及时治疗对预后至关重要。在专业筛查尚未普及或间隔期内,规律的自我检查(Breast Self-Examination, BSE)是一项简单、经济且有效的初级预警手段。据统计,约80%的乳腺癌最初是由患者自己发现的。...
2026-03-06
-
血小板衍生生长因子- PDGF
血小板衍生生长因子(PDGF):从基础生物学到临床转化的多维视角 摘要 血小板衍生生长因子(Platelet-Derived Growth Factor, PDGF)是一类重要的多效性细胞因子,自被发现以来,其在细胞增殖、迁移、分化及组织修复等基本生命过程中的核心作用不断被揭示。本文旨在系统综述PDGF家族成员及其受体的分子结构与遗传学特征,详细阐述其介导的...
2026-04-09
-
衣原体肺炎-婴幼儿肺炎,沙眼衣原体
在婴幼儿肺炎的诸多病原体中,沙眼衣原体(Chlamydia trachomatis, CT)占据着独特且重要的地位。与典型细菌或病毒引起的急性肺炎不同,沙眼衣原体肺炎起病隐匿、病程迁延,症状常不典型,易被家长甚至初诊医生忽视,但其对婴幼儿呼吸系统的潜在影响不容小觑。该病主要通过母婴垂直传播,常见于1至3个月龄的婴儿,是6个月以下婴儿肺炎的重要病原之一,国内研...
2026-03-25
-
静脉性溃疡-小腿内侧淤积性皮炎,溃疡
在慢性伤口领域,下肢静脉性溃疡是一个沉重且普遍的健康负担,其人群发病率约为0.4%至1.3%,这意味着平均每百人中即有一人受累,在老年群体中比例更高。它常始于不起眼的皮肤瘙痒与色素沉着,最终可能演变为经年不愈的“老烂腿”,严重侵蚀患者的生活质量。这一病理链条的起点,往往正是小腿内侧的淤积性皮炎。淤积性皮炎,又称静脉曲张性湿疹,是静脉功能不全最具代表性的皮肤标...
2026-03-31
-
雌三醇- E3
摘要 雌三醇(Estriol, E3)作为人体内三种主要天然雌激素之一,其生理角色与临床价值独特而关键。它不仅是妊娠期评估胎儿-胎盘功能的核心指标,也在更年期健康管理中发挥着重要作用。本文将从雌三醇的生化特性、生理功能、临床检测方法及其在产科、妇科及相关疾病诊疗中的应用进行全面阐述,并探讨其在医学研究与未来临床应用中的潜在价值。 一、雌三醇的生化基础与生理特...
2026-04-06
-
乙肝-乙肝携带者结婚十年,配偶一直没被传染,感染科医生说做对
在乙型病毒性肝炎(简称乙肝)仍常引发社会焦虑与误解的今天,一对夫妇的婚姻故事显得尤为特别:妻子是一名乙肝病毒携带者,而丈夫在长达十年的共同生活中,经多次检测,始终未被感染。这一结果挑战了公众对乙肝传染性的普遍恐惧,其背后并非偶然的幸运,而是科学认知与持之以恒的预防实践共同作用的结果。感染科医生在分析此案例时指出,他们“做对了三件事”,这三件事构成了有效阻断乙...
2026-03-06
-
胸痛-胸痛当心绞痛治了半年,做了一次胃镜发现是反流性食管炎
胸痛半年,误当心绞痛?——反流性食管炎的诊断迷雾与破局之道 在急诊科与心内科门诊,胸痛是最常见的主诉之一,其背后病因复杂,从危及生命的心肌梗死到相对“温和”的消化系统疾病,谱系广泛。临床上,有一种胸痛极具迷惑性,它发作时酷似心绞痛,让患者辗转心内科数月甚至更久,反复进行心脏检查却始终未果,直到一次胃镜检查才揭晓谜底——反流性食管炎。本文旨在深入剖析这种以胸痛...
2026-03-07
-
结核性关节炎-慢性单关节炎,结核病史
摘要 结核性关节炎,作为一种由结核分枝杆菌引起的慢性、感染性单关节炎,在临床实践中因其起病隐匿、症状不典型而常被忽视或误诊。它通常继发于身体其他部位的结核病灶,是结核病全身播散的一种局部表现。本文旨在系统阐述结核性关节炎,特别是其作为慢性单关节炎的临床特征、诊断要点、鉴别诊断以及诊疗策略,以提高临床医生对此病的认识,减少误诊漏诊,改善患者预后。 一、 概述与...
2026-03-26
-
肉芽肿性多血管炎-上呼吸道肺肾,PR3-ANCA阳性
肉芽肿性多血管炎:从三联征到PR3-ANCA的临床病理全景 一、引言:一种与ANCA紧密关联的系统性血管炎 肉芽肿性多血管炎是一种主要累及小至中等动脉、静脉及毛细血管的系统性坏死性肉芽肿性血管炎,属于ANCA相关性血管炎的重要亚型之一。2011年后,国际命名更倾向于使用“肉芽肿性多血管炎”(GPA),以更准确地描述其病理特征。该病病因尚未完全阐明,可能与遗传...
2026-03-26
-
腹痛-肚子疼了十年查不出原因,疼痛科医生说试试神经阻滞
李薇(化名)的日历,是以“疼”和“不疼”来标记的。过去十年,三千多个日夜,一种深藏在腹部深处的、难以名状的疼痛如影随形。它不是尖锐的刀割,也非明确的绞痛,而是一种持续的、弥漫的钝痛与灼烧感交织的折磨,时轻时重,却从未真正离去。 十年间,她的足迹遍布了这座城市几乎所有三甲医院的消化内科、普外科、妇科、甚至风湿免疫科。胃镜、肠镜做了无数次,报告上最多写着“浅表性...
2026-04-11
-
肿瘤标志物-筛查,随访
在癌症防控与管理的全链条中,早期发现与有效监测是改善预后的两大基石。肿瘤标志物检测,通过分析血液、体液等样本中由肿瘤细胞产生或机体应对肿瘤而异常改变的物质,为此提供了重要的辅助手段^。其在临床实践中主要扮演两大核心角色:一是作为面向特定高危人群的早期筛查“哨兵”,力图在症状出现前捕捉风险信号;二是作为已确诊患者的随访“导航仪”,用于评估疗效、预警复发及判断预...
2026-04-07
-
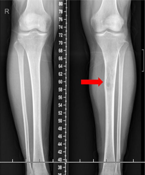
骨嗜酸性肉芽肿-骨溶骨性破坏,良性
骨嗜酸性肉芽肿——一种表现为溶骨性破坏的良性骨病探究 骨嗜酸性肉芽肿是一种以骨骼系统局限性溶骨性破坏为特征的良性病变,本质为朗格汉斯细胞的克隆性增生。本文系统阐述了该病的流行病学特征、病因假说、病理基础、临床表现与影像学特点,重点分析了其“良性溶骨性破坏”的独特性质,并综述了当前的诊断标准、鉴别诊断要点、个体化治疗策略及总体良好的预后,旨在深化临床及公众对这...
2026-03-29
-
淋巴瘤-腋下淋巴结肿大消炎药吃了两周没消,普外科医生说别再吃
当消炎药无效时:警惕隐藏在淋巴结肿大背后的淋巴瘤 引言:一个常见的症状,一个不寻常的警示 在普外科或全科门诊,医生经常遇到因“腋下长了个疙瘩”而前来就诊的患者。这个“疙瘩”很多时候是肿大的淋巴结。淋巴结是人体免疫系统的重要组成部分,遍布全身,尤其在颈部、腋窝、腹股沟等部位较为表浅、易于触及。当身体遭遇感染(如细菌、病毒)时,附近的淋巴结常常会肿大、疼痛,这是...
2026-03-12
-
胃淋巴瘤-胃部不适CT发现胃壁增厚,胃镜活检淋巴瘤
引言:胃壁增厚的影像学迷雾 在腹部增强CT检查中,胃壁的正常厚度通常不超过5毫米。当放射科医生在报告中写下“胃壁增厚”时,这个看似简单的描述,实际上打开了一扇通往复杂鉴别诊断的大门。胃壁增厚本身并非一种疾病,而是一个影像学征象,它像一道待解的谜题,其答案可能指向多种病理状态。常见的原因包括良性的慢性胃炎、胃溃疡,以及恶性的胃癌、胃间质瘤,也包括本文讨论的核心...
2026-04-10
-
骨转移癌-肺癌骨转移腿疼走不了路,骨科医生说可以做个手术止痛
引言:无法行走之痛背后的生命困境 “医生,我的腿疼得一步都走不了了。”——在肿瘤科或骨科门诊,这声来自肺癌骨转移患者的痛苦倾诉,已不再罕见。随着肺癌诊疗水平的提升,患者生存期得以延长,但肿瘤细胞向骨骼的“迁徙”与破坏,却成为影响晚期患者生活质量的最严峻挑战之一。骨骼,这具支撑我们躯体、赋予我们行动自由的坚硬框架,一旦被转移癌细胞侵蚀,便会引发剧烈疼痛、病理性...
2026-03-27
-
食欲素-觉醒
引言:从沉睡中唤醒的分子信使 在神经科学的深邃殿堂中,有一种名为“食欲素”(Orexin,亦称为下丘脑泌素,Hypocretin)的神经肽,正以其独特的双重身份—— 能量稳态的感知者与觉醒状态的指挥家 ——日益成为连接基础代谢与高级脑功能的关键桥梁。它的发现,源自对摄食行为的探索,却意外地打开了一扇理解睡眠-觉醒周期、乃至意识本身生物学基础的全新窗口。本文旨...
2026-03-23
-
鹦鹉热-高热头痛肺炎,接触鹦鹉
引言 在现代社会,饲养观赏鸟类或从事禽类相关工作已成为许多人的生活常态。在这份与自然生灵亲近的愉悦背后,潜藏着一类可能引发严重健康风险的疾病——鹦鹉热。这是一种由鹦鹉热衣原体引起的人畜共患传染病,其典型临床特征包括突发高热、剧烈头痛和以肺炎为主要表现的呼吸道症状。尽管名称源自鹦鹉,但实际传染源远不止于此,几乎所有类型的鸟类都可能成为病原体的携带者。本文旨在深...
2026-04-06
-
脑胶质瘤-视力下降看眼科没问题,神经外科医生让查视野发现颅内
引言:被忽视的“眼疾”信号 当眼前的世界开始模糊、视野中出现无法解释的暗区或缺失时,绝大多数人的第一反应是寻求眼科医生的帮助。这无疑是正确且及时的就医选择。在眼科检查未发现明确病因,或视力障碍持续进展、与常规眼病特征不符时,一个隐匿于头颅深处的可能性便不容忽视——颅内占位性病变,特别是脑胶质瘤。视觉,作为人类最重要的感知通道之一,其通路从眼球后方的视网膜开始...
2026-03-07
-
血管炎-下肢紫癜当过敏性皮炎,皮肤科医生让查血发现血管炎
皮肤作为人体最大的器官,常常是内部疾病的“晴雨表”。当双下肢出现对称性、按压不褪色的紫红色瘀点或瘀斑时,最常见的初步诊断方向之一便是过敏性皮炎。 部分患者在接受常规抗过敏治疗后,皮疹不仅未见消退,甚至可能伴有新发的关节肿痛或腹痛,一个更深层、更系统性的疾病——血管炎,便可能隐藏在这片皮损的“迷雾”之后。 血管炎是一组以血管壁炎症和坏死为共同病理特征的异质性疾...
2026-03-31
-
脑转移癌-乳腺癌术后五年突然头痛呕吐,神经外科会诊发现脑转移
五年平稳期后的颅内警报:一例乳腺癌术后脑转移的深度剖析 摘要 :本文通过一例乳腺癌根治术后五年,以突发头痛、呕吐为首发症状,最终确诊为脑转移瘤的典型病例,系统梳理了乳腺癌脑转移的常见临床症状谱、病理生理机制、现代影像学与分子诊断方法,并探讨了以神经外科为主导的多学科综合治疗策略。文章强调,对于有乳腺癌病史的患者,即使术后多年,任何新发的神经系统症状都需高度警...
2026-03-07
-
风湿热-链球菌感染后,游走性关节炎心脏炎
风湿热的双面印记:游走性关节炎与心脏炎的临床探析 摘要 :风湿热是由A组乙型溶血性链球菌感染后触发的自身免疫反应,其临床表现复杂多样,其中游走性关节炎和心脏炎是最具特征性的两大核心表现。前者是患者最常见的主诉,表现为多个大关节的红、肿、热、痛在数日间此起彼伏;后者则是决定疾病预后的关键,可能导致永久性的心脏瓣膜损害,发展为风湿性心脏病。本文系统梳理了这两种主...
2026-03-24
-
乙肝-家里有乙肝患者一起吃饭会传染吗?传染科医生说先看对方有
引言:被误解的日常接触 在中国,乙型肝炎病毒(HBV)感染是一个备受关注的公共卫生议题,同时也承载了沉重的社会污名。其中,一个普遍且根深蒂固的担忧是:“家里有乙肝患者,一起吃饭会传染吗?”这个问题背后,折射出公众对乙肝传播途径的模糊认知与无端恐惧,常常导致不必要的家庭隔阂与社会歧视。本文将基于可靠的医学证据,系统阐述乙肝病毒的传播机制,明确日常共餐的真实风险...
2026-03-06
-
香草扁桃酸- VMA
香草扁桃酸(Vanillylmandelic Acid,简称VMA),化学名称为3-甲氧基-4-羟基扁桃酸,是人体内源性儿茶酚胺(主要是肾上腺素和去甲肾上腺素)在肝脏等组织经一系列酶促反应后的主要终末代谢产物。作为神经递质和激素代谢的关键一环,VMA不仅在基础生物化学与生理学研究中占据重要地位,更因其稳定的特性和易于检测的优势,成为临床诊断领域,尤其是嗜铬细...
2026-03-22
-
前列腺癌-前列腺癌不做手术只打针,泌尿外科医生说这也是一种选
在诊断出前列腺癌后,许多患者和家属的第一反应往往是寻求“根治”,而根治性前列腺切除术常被视为达成这一目标的“标准答案”。随着医学研究的深入与临床经验的积累,泌尿外科医生的治疗图谱早已变得更加丰富和精细。对于相当一部分患者,“不做手术,只打针”——即采用以药物注射为主的雄激素剥夺治疗(ADT,俗称“内分泌治疗”),不仅是一种可行的选择,在某些情况下甚至是更优的...
2026-03-06
-
麻风菌素试验-麻风
摘要 麻风菌素试验作为一种历史悠久的体内免疫学检测方法,在麻风病的临床诊疗与免疫学研究领域占据着独特而重要的位置。本文旨在系统阐述麻风菌素试验的基本原理、操作方法、结果判读标准及其临床意义,并深入探讨其在麻风病免疫光谱分型、预后评估以及流行病学调查中的应用价值与固有局限性。通过对该试验全面而客观的分析,有助于深化对麻风病免疫病理机制的理解,并明确其在现代麻风...
2026-03-28
-
血钙-高钙低钙
引言 钙离子是人体内含量最丰富的矿物元素,在维持神经肌肉兴奋性、信号传导、骨骼健康、血液凝固以及酶活性调节等方面发挥着至关重要的作用。血钙,即血清中的钙浓度,其稳定是机体生命活动正常进行的基本保障。血钙稳态由甲状旁腺激素(PTH)、活性维生素D(1,25-(OH)2D3)和降钙素(CT)三者构成的精密内分泌网络共同调节,主要涉及肠道吸收、骨骼储存与释放以及肾...
2026-04-05
-
蕈样肉芽肿-皮肤瘙痒多年治不好,皮肤科医生说可能是早期淋巴瘤
皮肤瘙痒,几乎是每个人都曾体验过的不适。无论是蚊虫叮咬、皮肤干燥还是过敏反应,这种症状通常被认为是短暂且易于处理的。当瘙痒变得顽固、持续多年,并且常规治疗手段——无论是激素药膏还是抗过敏药物——都难以奏效时,它就从一个简单的皮肤问题,转变为一个需要高度警惕的健康警报。这种“不寻常”的痒,可能与一种名为“蕈样肉芽肿”的疾病紧密相关,这是一种原发于皮肤的T细胞淋...
2026-03-07
-
腹痛-上腹痛当胃病治了三年,肝胆外科查出胆总管结石
引言:被忽视的“右上腹警报” 在消化系统疾病的诊疗中,上腹部疼痛是一种极为常见的症状,其病因复杂,从常见的功能性消化不良、慢性胃炎到更为严重的炎、胆道疾病皆有可能。正是这种“常见”,有时却成了掩盖真相的面纱。许多患者,包括本文所参考的案例,曾长期将源自胆道系统的疼痛误判为“胃病”,历经数年反复治疗却收效甚微,直至症状加剧或出现特异性表现,才在专科检查下揭开谜...
2026-03-07
-
食欲肽- orexin
食欲肽-orexin:连接睡眠、能量稳态与神经疾病的关键神经肽系统 摘要 食欲肽(Orexin),亦称为下丘脑泌素(Hypocretin),是一对由下丘脑外侧区(Lateral Hypothalamus, LH)和穹窿周区(Perifornical Area, PFA)神经元合成和分泌的神经肽。自1998年被两个独立研究小组几乎同时发现以来,其在调控睡眠-觉...
2026-03-22
-
血沉-非特异性炎症指标
在琳琅满目的现代医学检验项目中,红细胞沉降率(Erythrocyte Sedimentation Rate, ESR),简称“血沉”,犹如一位沉稳的“老者”。自1897年波兰医生埃德蒙·伯恩斯坦首次描述其与疾病状态的相关性以来,血沉检测已跨越一个多世纪,至今仍在全球各级医疗机构中广泛应用。其核心价值在于,作为一种 非特异性炎症指标 ,它能敏感地反映机体是否存...
2026-04-07
-
降钙素-甲状腺髓样癌
摘要 甲状腺髓样癌(Medullary Thyroid Carcinoma, MTC)是一种起源于甲状腺滤泡旁C细胞的神经内分泌肿瘤,约占所有甲状腺癌的2%-5%,但其生物学行为更具侵袭性,预后相对较差。与常见的分化型甲状腺癌不同,MTC具有独特的病理生理特征,其肿瘤细胞保留了分泌降钙素(Calcitonin)的功能,并常伴有癌胚抗原(CEA)等物质的异常分...
2026-04-02
-
缩胆囊素- CCK
引言:从消化到大脑的多面分子 缩胆囊素(Cholecystokinin,简称CCK),一个在生物医学史上扮演着多重关键角色的神经肽/胃肠激素,其发现与发展史本身就是一部跨学科探索的缩影。最初,它因其能强力刺激胆囊收缩、促进胆汁排出以助消化的功能而被命名和认识。随着研究的深入,科学家们惊讶地发现,CCK不仅是消化系统的“调度员”,更是大脑中含量最丰富的神经肽之...
2026-03-19
-
黑色素聚集激素- MCH
一、 引言:从鱼类色素调节到哺乳动物中枢的“多面手” 黑色素聚集激素(MCH)最初因其在硬骨鱼类中调节皮肤色素细胞、使黑色素颗粒聚集以应环境变化的功能而被命名和认识。这一发现揭示了其在进化上的保守性。随后的研究证实,在哺乳动物中,MCH主要由下丘脑外侧区(LHA)和未定带的神经元合成与分泌,其表达和功能发生了显著扩展,成为中枢神经系统中一个举足轻重的信号分子...
2026-03-21
-
肝转移癌-肠癌肝转移不能手术,介入科医生说可以先把肝脏血管堵
结直肠癌是全球范围内高发的恶性肿瘤,肝脏是其最常见的远处转移部位。一旦发生肝转移,疾病即进入IV期,传统的治疗观念曾一度将其视为难以治愈的晚期状态。外科手术切除虽是可能实现根治的手段,但仅有约20%-30%的患者在初诊时具备手术条件,多数患者因转移灶数量多、分布广、位置特殊或合并肝功能储备不足等原因,失去了根治性手术的机会。面对这一困局,以肝动脉化疗栓塞为代...
2026-04-14
-
结节性多动脉炎-网状青斑,多发单神经炎,血管造影异常
从三联征洞察PAN:网状青斑、多发单神经炎与血管造影异常的临床交响 结节性多动脉炎是一种以中、小动脉全层坏死性炎症为特征的全身性血管炎,其临床表现复杂多样,早期诊断颇具挑战性^。在纷繁的症状中, 网状青斑 、 多发单神经炎 与 血管造影异常 构成了具有高度提示性的临床三联征。深入理解这三者的内在联系与各自特征,对于拨开诊断迷雾、及时干预至关重要^。 一、 皮...
2026-04-15
-
血管淋巴样增生伴嗜酸性粒细胞增多-类似木村病
在皮肤科与血液科的交叉领域,存在一组以血管增生、淋巴样浸润和外周血嗜酸性粒细胞增多为共同特征的慢性炎性疾病,其中血管淋巴样增生伴嗜酸性粒细胞增多(Angiolymphoid Hyperplasia with Eosinophilia, ALHE)与木村病(Kimura‘s Disease, KD)最具代表性,也最易混淆。自20世纪中叶被分别描述以来,二者因在...
2026-04-08
-
胼胝-足底弥漫性角化,摩擦引起
引言 在我们的日常生活中,足底皮肤变硬、增厚形成俗称的“老茧”,是一种极为普遍的现象。这种看似微不足道的皮肤变化,实则是人体应对长期机械刺激的一种复杂而精妙的保护性反应。当这种角质增厚超出正常生理范畴,或与特定病理状态相结合时,便会演变为困扰人们行走、影响生活质量的足部问题。其中,由长期摩擦压迫引起的胼胝(callus)与具有遗传背景的弥漫性掌跖角化病(di...
2026-03-31
-
肠结核-腹痛腹泻,肠镜见环形溃疡
一、 引言:被忽视的肠道感染 在全球范围内,结核病仍是严重的公共卫生问题。当人们将目光聚焦于肺结核时,肠道作为肺外结核最常见的感染部位之一,其重要性常被低估。肠结核起病隐匿,症状不典型,极易与炎症性肠病、肠道肿瘤等疾病混淆,导致误诊或延迟诊断。腹痛与腹泻作为其核心肠道症状,背后是结核分枝杆菌在肠壁淋巴组织中引发的复杂病理过程。而消化内镜,尤其是结肠镜的广泛应...
2026-04-11
-
尿血-无痛血尿当上火,泌尿外科膀胱镜发现菜花样肿物
引言:被忽视的健康警报 在日常生活中,许多人发现尿液颜色变红或呈洗肉水样时,第一反应常将其归咎于“上火”。尤其是在没有伴随疼痛、发热等明显不适的情况下,“不痛不痒,应该只是上火了”的想法更为普遍。这种基于民间经验的自我诊断,可能导致对潜在严重健康问题的延误。事实上,血尿,特别是无痛性肉眼血尿,是泌尿系统发出的重要警报信号,其背后可能隐藏着从感染、结石到肿瘤等...
2026-03-13
-
脑转移癌-肺癌脑转移头痛呕吐,放疗科医生说全脑放疗后能缓解
肺癌是常见的恶性肿瘤,其病程中发生脑转移的概率高达20%-65%,这已成为影响患者生存质量与预后的关键因素。脑转移瘤一旦形成,常因占位效应和颅内压升高引发一系列神经系统症状,其中以持续性头痛、恶心呕吐最为常见且令患者痛苦不堪。在自然病程下,若不进行干预,患者的生存期往往非常有限。随着肿瘤治疗手段的不断进步,放射治疗,尤其是全脑放疗,已成为控制脑转移、缓解神经...
2026-04-14
-
雌二醇- E2
摘要 雌二醇(Estradiol,E2)作为人体内最主要的天然雌激素,不仅是维持女性生殖系统功能与第二性征的核心激素,更在全身多系统的生理活动中扮演着至关重要的调节角色。本文旨在系统阐述雌二醇的生化特性、生理功能、调控机制及其在临床医学领域的广泛应用与前沿研究。文章首先概述E2的生物合成与代谢途径,继而深入探讨其在生殖、骨骼、心血管、中枢神经及代谢系统中的具...
2026-04-05
-
隐球菌病-头痛呕吐,墨汁染色阳性
隐球菌性脑膜炎的临床识别、诊断与治疗策略:基于典型症状与墨汁染色阳性的深度剖析 摘要 隐球菌病,特别是隐球菌性脑膜炎(Cryptococcal Meningitis, CM),是一种由新生隐球菌复合体或格特隐球菌等致病性真菌引起的中枢神经系统机会性感染。本文聚焦于以“头痛、呕吐”为典型临床表现,且脑脊液(CSF)墨汁染色阳性的隐球菌病病例,系统阐述其流行病学...
2026-03-24
-
膀胱癌-尿血以为是尿路感染,吃了抗生素还出血,膀胱镜检查发现
五十多岁的陈先生(化名)在一个多月前发现自己小便颜色变红,像洗肉水一样,但身体没有任何疼痛或不适。 他首先想到的是常见的尿路感染或“上火”,于是自行去药店购买了抗生素服用。服药一周后,血尿症状并未如预期般消失,时有时无,这让他心里开始打鼓。 在家人催促下,他最终前往医院就诊。这个案例并非个例,临床上,约80%-90%的膀胱癌患者首发的、最典型的症状正是这种 ...
2026-03-07
-
腹水-肚子越来越大以为是长胖,消化科医生叩诊发现移动性浊音
当“发福”的肚子遇上医生的叩诊锤:一位消化科医生的诊断手记 引言:被误读的“福态” 在消化科门诊,我时常会遇到一些面露困惑与些许尴尬的患者,他们最常见的开场白是:“医生,我最近好像胖得特别快,尤其是肚子,可人却没精神,吃不下饭。” 张先生便是其中一位。他五十出头,事业有成,自述近半年来腹部逐渐膨隆,起初以为是应酬多、运动少导致的“啤酒肚”,尝试过节食和健身,...
2026-03-07
-
胰岛素样生长因子- IGF
胰岛素样生长因子(Insulin-like Growth Factor, IGF)系统是一个复杂且进化上保守的信号网络,在生物体的生长、发育、代谢稳态及组织修复中扮演着核心角色。该系统主要包括IGF-1和IGF-2两种配体、IGF-1R和IGF-2R等受体、以及一系列高亲和力的胰岛素样生长因子结合蛋白(IGFBPs)及其蛋白酶。与胰岛素结构相似的IGF,尤其...
2026-04-10
-
食管癌-吃东西总觉得噎得慌,做了胃镜没事,半年后确诊食管癌
引言:一个常见的症状与一次“安心”的检查 在消化内科门诊,患者主诉“吃东西总觉得噎得慌”是极为常见的现象。这种吞咽时的哽噎感,医学上称为“吞咽困难”或“吞咽不适”,其背后原因多样,从良性的功能紊乱到严重的器质性病变皆有可能。对于这一症状,胃镜检查(食管胃十二指肠镜检查)被公认为评估上消化道、尤其是食管黏膜状况的“金标准”。它能直接观察食管内壁,发现炎症、溃疡...
2026-03-07
-
荨麻疹-风团,24小时内消退
皮肤上突然涌现一片片红色或苍白的隆起,伴随难以忍受的瘙痒,却在数小时内悄然隐退,不留一丝痕迹——这便是荨麻疹,一种常见的过敏性皮肤病。其最核心、最典型的临床表现,即是被称为“风团”的皮损。风团“突发突消”的特性,尤其是其通常在24小时内自行消退的规律,不仅是患者最直观的感受,更是临床医生进行诊断、鉴别和制定管理策略的关键依据。这一看似简单的生理现象,背后却蕴...
2026-04-15
-
重症联合免疫缺陷-婴儿反复感染,T细胞B细胞缺乏
重症联合免疫缺陷病(SCID)是儿科领域最严重的原发性免疫缺陷病之一,以T淋巴细胞和/或B淋巴细胞的先天性、重度缺陷为特征,导致患儿几乎完全丧失适应性免疫功能。婴儿期是其典型发病窗口,临床表现为反复、严重、迁延不愈的感染,且对常规治疗效果不佳。本文旨在系统阐述SCID的免疫学发病机制、临床特征、诊断策略及管理原则,重点剖析其导致婴儿反复感染的病理生理基础,以...
2026-03-26
-
过敏性紫癜-孩子腿上起红点当过敏,儿科医生说这是血管炎要查尿
引言:被误解的“红点”——从皮肤到系统的警报 孩子活泼好动,腿上突然出现一片片红色斑点,不痛不痒,这场景在许多家庭中都曾上演。多数家长会将其归咎于蚊虫叮咬、湿疹或食物过敏,采取外用药膏或抗过敏药物处理。若这些红点具有几个关键特征: 集中分布于双小腿、脚踝及臀部,且呈对称性;颜色为鲜红或紫红,微微凸起于皮肤;最关键的是,用手指按压后颜色不消退 ,那么,这极有可...
2026-03-29
-
结直肠癌-大便变细带血,肠镜发现环周肿物
从细微便形到生命警报:解读结直肠癌的“大便变细带血”与环周肿物 引言:不容忽视的肠道信号 在消化系统疾病的诸多征兆中,排便习惯与粪便性状的改变往往是最直接、最应被警惕的早期信号。特别是当大便持续变细如铅笔,并混杂着或明或暗的血液时,这绝非偶然的肠胃不适,而可能是结直肠发出的“求救信号”。结直肠癌作为全球范围内高发的恶性肿瘤,其早期症状隐匿,但“大便变细带血”...
2026-03-10
-
低热-下午低热盗汗当感冒治,呼吸科医生让拍CT发现肺结核
午后低热与夜间盗汗:不容忽视的肺结核信号——从症状识别到CT诊断 引言 在呼吸系统疾病中,肺结核因其传染性和潜在的健康危害而备受关注。其早期症状常不典型,极易与普通感冒或上呼吸道感染混淆。许多患者因反复出现的午后低热、夜间盗汗等症状而自行服用感冒药,直至症状迁延不愈才前往医院,此时可能已错过了最佳干预时机。本文将深入剖析肺结核的典型与非典型症状,重点阐述“低...
2026-03-06
-
催乳素瘤- PRL升高,溴隐亭治疗有效
摘要 催乳素瘤是临床上最常见的功能性垂体腺瘤,其核心特征是垂体泌乳素细胞异常增生并分泌过量的催乳素(PRL),导致高催乳素血症及相关临床症状^。该疾病对患者,尤其是育龄期女性的生殖健康及生活质量构成显著影响^。以溴隐亭为代表的多巴胺受体激动剂是国内外公认的一线药物治疗方案,其在降低血清PRL水平、缩小肿瘤体积及改善临床症状方面具有明确的疗效^。本文旨在系统阐...
2026-03-06
-
膀胱癌-膀胱癌电切术后反复复发,泌尿外科医生说这次要全切
——一名反复复发膀胱癌患者的治疗心路与医学反思 摘要 :膀胱癌,作为泌尿系统最常见的恶性肿瘤之一,其治疗与预后高度依赖于病理分期与分级。对于非肌层浸润性膀胱癌,经尿道膀胱肿瘤电切术(TURBT)是标准且保留器官的首选治疗方式。高复发率是其临床面临的主要挑战。本文通过构建一个虚构但基于典型临床案例的患者叙事,深度剖析膀胱癌患者在经历多次TURBT术后仍反复复发...
2026-03-07
-
白血病-孩子低烧半个月,血常规正常,三个月后确诊白血病,血液
引言:一个“正常”结果带来的麻痹与挑战 在儿科门诊,发热是最常见的就诊原因之一。当伴随发热的孩子拿到一份看似“正常”的血常规报告时,家长和部分初诊医生往往会松一口气,倾向于诊断为普通病毒感染,并采取观察或常规对症治疗。临床中不乏这样的案例:孩子持续低烧半个月甚至更久,反复检查血常规均无显著异常,却在数月后被确诊为白血病。这种“血常规正常”的表象,如同一层迷雾...
2026-03-10
-
阿米巴痢疾-果酱样便,大便找阿米巴滋养体
摘要 阿米巴痢疾,又称肠阿米巴病,是由致病性溶组织内阿米巴原虫感染结肠所引起的肠道传染病。其最具标志性的临床特征之一,是患者排出的暗红色、果酱样、具有特殊腥臭味的大便。这一独特的粪便性状不仅是临床诊断的重要线索,更是直接指向肠道黏膜被阿米巴滋养体侵袭、破坏的病理过程。本文旨在系统阐述阿米巴痢疾果酱样便的形成机制、典型特征,并重点探讨作为确诊“金标准”的大便阿...
2026-03-28
-
肝硬化-肝硬化腹水抽了又长,肝病科医生调了一个药,腹水慢慢消
肝硬化腹水,是失代偿期肝硬化患者常见的严重并发症。对于许多患者和家庭而言,那反复穿刺抽液、腹水“抽了又长”的循环,不仅是身体的沉重负担,更是精神上的无尽折磨。它像一个顽固的幽灵,盘踞在腹腔,消耗着患者的营养,压迫着脏器,限制着呼吸,并时刻预示着肝功能进一步恶化的风险。传统的治疗往往围绕利尿、限盐、补充白蛋白以及腹腔穿刺放液术(LVP)展开,对于难治性腹水患者...
2026-03-09
-
血管活性肠肽- VIP
血管活性肠肽(Vasoactive Intestinal Peptide, VIP)是一种由28个氨基酸组成的神经肽,广泛分布于中枢神经系统、外周神经系统以及胃肠道等器官中,发挥着神经递质、神经调节因子和激素样物质的多重角色。自其发现以来,VIP因其广泛的生物活性,在心血管、消化、呼吸、免疫及神经等多个系统的生理调节和病理过程中占据着核心地位,并已成为连接神...
2026-03-21
-
缺铁性贫血-女性缺铁性贫血补铁三个月没好转,消化科医生让查大
当补铁无效时,为何消化科医生总让你查大便?——揭秘缺铁性贫血背后的“隐形失血” 引言:补铁无效的困惑与隐忧 “我每天都在按时吃铁剂,猪肝、菠菜、红枣也没少吃,为什么三个月过去了,血红蛋白还是纹丝不动?”这不仅是许多缺铁性贫血患者,尤其是女性患者的共同困惑,更是一个不容忽视的健康警报。缺铁性贫血看似是“缺什么补什么”的简单逻辑,但当常规补铁治疗遭遇瓶颈时,往往...
2026-03-31
-
胸膜间皮瘤-石棉接触史胸水查不出原因,胸外科胸腔镜活检确诊
在呼吸科或胸外科门诊,我们有时会遇到这样一类患者:他们多为中老年男性,有明确的石棉接触史(可能是在数十年前的建筑、造船或矿业工作中),因逐渐加重的胸闷、气促和持续性胸痛前来就诊。胸部影像学检查,如X光或CT,往往提示存在中到大量的胸腔积液,即通常所说的“胸水”^。反复的胸腔穿刺抽液进行常规生化、细胞学检查,却常常回报为“未见恶性肿瘤细胞”或“渗出液,原因待查...
2026-03-07
-
骨肉瘤-骨肉瘤保肢手术还是截肢,骨科医生说功能比外观重要
功能优先:在骨肉瘤治疗中,为何“能用”比“好看”更重要 引言:从“保命”到“保命且保肢”的范式转变 骨肉瘤,一种好发于青少年的高度恶性肿瘤,曾因其凶险的预后和高死亡率,让截肢一度成为标准治疗方案。过去几十年来,以新辅助化疗、影像学精准评估和先进重建技术为支柱的综合治疗模式,彻底改变了这一疾病的治疗格局。如今,约80%-90%的肢体骨肉瘤患者有机会接受保肢手术...
2026-03-29
-
雀斑-遗传,日晒加重
第一章:雀斑的生物学本质与临床表现 雀斑(Ephelides)是一种常见的、主要分布于面部、颈部和手背等日光暴露区域的皮肤色素沉着性疾病。 其典型表现为直径1-5毫米的圆形、卵圆形或不规则形淡褐色至深褐色斑点,边界清晰,通常无自觉症状。 雀斑多在儿童期(5-12岁)开始显现,青春期时可能因激素变化而颜色加深、数量增多,成年后趋于稳定,但会随季节和日晒程度而变...
2026-04-07
-
组胺-过敏
引言:无处不在的“警报分子” 在现代社会的日常生活中,过敏已成为困扰数亿人的常见健康问题。从春季的花粉、尘螨到餐桌上的海鲜、坚果,从宠物的毛发到日常的药物,过敏原无处不在,引发的反应也千差万别,轻则打喷嚏、皮肤瘙痒,重则可能导致喉头水肿、过敏性休克甚至危及生命。在这些复杂多变的生理反应背后,有一个关键的“信使分子”扮演着核心角色——组胺(Histamine)...
2026-03-23
-
致残性全硬化性硬斑病-儿童,关节挛缩
摘要 致残性全硬化性硬斑病是一种主要发生于儿童的特殊亚型局限性硬皮病,具有显著的侵袭性与致残风险。其核心危害之一在于病变深度累及真皮、皮下组织、筋膜、肌肉乃至骨骼,导致关节活动严重受限,最终形成屈曲挛缩畸形,对患儿的生长发育与生活质量造成深远影响。本文将从疾病概述、关节挛缩的病理机制、临床表现、诊断、综合治疗策略及家庭护理等方面进行系统性阐述。 一、 疾病概...
2026-04-07
-
肝细胞癌-甲胎蛋白正常也不能排除肝癌,肝胆外科医生说B超有结
肝脏,被誉为人体最“沉默”的器官,因其强大的代偿功能,早期病变往往缺乏特异性症状。肝细胞癌(HCC)作为我国高发的恶性肿瘤之一,其预后与诊断时机密切相关。早期肝癌经有效治疗,五年生存率可显著提高,而一旦进入中晚期,治疗选择有限,预后往往较差。肝癌的早期筛查与精准诊断显得至关重要。在临床实践中,血清甲胎蛋白检测和肝脏B超检查构成了筛查的两大基石。公众乃至部分非...
2026-03-09
-
甲状腺髓样癌-甲状腺结节伴腹泻,降钙素明显升高
在常规体检或门诊中,甲状腺结节与腹泻常被视作独立的健康问题分别处理。甲状腺结节多数为良性,仅需定期观察;腹泻则常归因于感染、饮食不当或肠易激综合征等。当这两种情况在同一个体身上并存,特别是当实验室检查揭示出血清降钙素水平异常显著升高时,临床医生需保持高度警惕。这一组合可能是甲状腺髓样癌发出的重要信号。甲状腺髓样癌虽然仅占所有甲状腺癌的约5%-10%,但其具有...
2026-03-12
-
铁蛋白-炎症,肿瘤,铁过载
铁蛋白是人体内一种关键的储铁蛋白,其主要生理功能在于储存铁并维持机体铁稳态,避免游离铁离子引发氧化损伤。在临床实践中,血清铁蛋白水平的检测已成为评估体内铁储存状况和诊断相关疾病的重要指标。铁蛋白升高并非单一疾病的特异性信号,而是一个复杂的病理生理过程的结果,最常见的原因可归纳为炎症反应、恶性肿瘤以及铁过载状态。准确解读铁蛋白升高的背后原因,对于疾病的鉴别诊断...
2026-04-02
-
肺癌-那个每年体检都拍胸片的老人,最后还是查出晚期肺癌
当胸片成为“安慰剂”:一位“每年体检”老人的晚期肺癌诊断反思 引言:一个令人费解的悲剧 在社区卫生服务中心的年度体检报告上,“胸部X光片未见明显异常”这一行字,曾像一枚定心丸,让王建国(化名)老人和他的家人安稳度过了又一年。这位75岁的退休教师,生活规律,注重养生,并且有着超过十五年的“完美”体检记录——每年一次的单位或社区体检,胸片检查是雷打不动的项目。他...
2026-03-07
-
甲状腺癌-穿刺提示良性,手术切除后病理却是癌,甲状腺外科医生
在甲状腺外科门诊,医生有时需要向患者解释一个看似矛盾的现象:为何手术中或术前检查被认为是良性的结节,最终的大病理报告却显示是癌?这并非孤例,其发生率据研究可达2%至10%。这一转变背后,是病理诊断从“快速取样”到“精确定论”的必然过程,深刻揭示了现代医学诊断技术的局限性与进步空间。 一、 诊断方法的本质差异:从“快照”到“全景” 术后病理(石蜡病理)被公认为...
2026-03-13
-
螺旋腺瘤-痛性结节,大汗腺来源
摘要 汗腺螺旋腺瘤是一种临床上相对少见但特征显著的皮肤良性肿瘤,其核心临床特征为具有自发或受压后出现的阵发性锐痛,使其常被描述为“痛性结节”。该肿瘤起源于汗腺导管,尤其在向大汗腺(顶泌汗腺)分化方面具有明确的组织学证据。本文旨在系统阐述汗腺螺旋腺瘤的流行病学特点、临床表现、疼痛机制、组织病理学特征、诊断与鉴别诊断、治疗及预后,并对其潜在恶变风险进行探讨,以期...
2026-04-15
-
视黄醇结合蛋白4-胰岛素抵抗
视黄醇结合蛋白4(Retinol-Binding Protein 4, RBP4)长期以来被认为是负责在血液中特异性转运维生素A(全反式视黄醇)的主要载体蛋白,对于维持视觉、免疫及上皮组织健康至关重要。自21世纪初以来,一系列突破性研究揭示了RBP4的另一重关键身份:一种由脂肪组织分泌的脂肪因子,其在肥胖、2型糖尿病、代谢综合征等疾病的胰岛素抵抗发生发展中扮...
2026-03-19
-
胃溃疡-那个吃了一个月胃药也没好转的病人,最后发现是心脏问题
摘要 本文通过详细报告一例以“胃溃疡”样症状为表现、最终确诊为不稳定型心绞痛的典型病例,系统阐述了非典型心绞痛(尤其是下壁心肌缺血)与上消化道疾病的鉴别诊断困境。文章深入分析了误诊原因,包括症状重叠、问诊局限性与辅助检查的初步误导,并在此基础上,提出了加强全科医生心血管风险评估意识、推广多学科协作诊疗模式及重视“报警症状”识别等改进策略,旨在提升临床医生对这...
2026-03-07
-
骨痛-全身骨痛当风湿治两年,骨科医生让查血发现多发瘤
在骨科或风湿免疫科门诊,因“全身骨痛”前来就诊的患者屡见不鲜。许多患者,尤其是中老年人,其疼痛常被初步归因于骨质疏松、骨关节炎或风湿性疾病,并接受相应的对症治疗。当疼痛持续不缓解、常规治疗无效时,一个更具侵袭性的病因——多发性瘤,便可能隐藏在表象之下。临床上,患者因骨痛被当作“风湿”治疗数月甚至数年,最终通过一次偶然或常规的血液检查发现异常指标,从而确诊为多...
2026-03-07