-
牙科整形包括哪些?牙科整形与牙齿矫正、牙齿美容
随着人们对口腔健康与面部美观的追求日益提升,牙科整形已成为现代口腔医学中备受关注的重要领域。它不仅关乎牙齿功能的恢复,更紧密联系着个人的形象与自信。牙科整形是一个综合性的概念,它涵盖了一系列旨在改善牙齿、牙龈及颌面部外观与功能的医疗项目。理解其具体内涵,并厘清其与牙齿矫正、牙齿美容等常见概念的异同,对于公众做出明智的治疗选择至关重要。 一、 牙科整形的核心项...
2026-03-21
-
韩美整形医院官网:韩美整形医院项目介绍与专家团队
在追求美丽与自信的现代社会中,专业的医疗美容机构扮演着至关重要的角色。韩美整形医院作为一家源自韩国的连锁品牌,自进入中国市场以来,始终秉承纯正的韩式个性化设计理念与精细化技艺,致力于为求美者提供安全、专业、高品质的美丽蜕变服务。本文将系统介绍韩美整形医院的核心医疗项目与卓越的专家团队,展现其作为行业标杆的综合实力。 一、 多元化的专业科室与特色项目 韩美整形...
2026-03-28
-
美莱整形美容医院怎么样?美莱整形美容医院与全国连锁品牌服务
匠心连锁,安心变美:解析美莱整形美容医院的品牌实力与卓越服务 在当今医疗美容行业蓬勃发展的背景下,求美者对安全、专业与服务的需求日益提升。作为国内知名的医美连锁品牌,美莱(MYLIKE)医疗美容医院以其深厚的品牌积淀、广泛的全国布局以及备受认可的服务体系,成为众多求美者信赖的选择。本文将从品牌实力、技术优势、服务体验与市场口碑等多维度,对美莱整形美容医院进行...
2026-03-24
-
贵阳整形医院排名第一:贵阳整形医院与贵州医科大学附属医院整形
在贵阳日益蓬勃的医疗美容市场中,公立与私立机构共同构成了行业生态。其中,作为私立医院代表的“贵阳整形医院”与作为公立三甲标杆的“贵州医科大学附属医院整形科”(通常指其烧伤整形外科或整形美容科),常被求美者置于天平两端进行比较。这两者分别代表了市场化专科服务与公立综合医疗在整形领域的两种发展路径,它们的对比不仅关乎医院选择,更折射出消费者对技术、安全、服务与性...
2026-03-26
-
南京华美整形医院怎么样?南京华美整形与当地其他医美机构对比
南京的医疗美容市场呈现出公立医院专科、民营连锁品牌与本土机构并存的多元格局。在各类“十大整形医院”榜单中,南京华美、南京艺星、南京医科大学友谊整形外科医院、南京康美等机构常名列前茅,构成了市场的主要竞争力量。这些机构各有侧重,共同推动着本地医美服务向专业化、精细化发展。本文将聚焦于南京华美整形医院,通过横向对比,剖析其在激烈市场竞争中的定位与优势。 一、 核...
2026-03-12
-
名流美容整形医院怎么样?名流美容整形与当地其他机构对比
随着医疗美容行业的蓬勃发展,沈阳作为东北地区的核心城市,已形成多家颇具实力与口碑的整形机构并存的竞争格局。消费者在选择时,往往需要对各机构的特色、优势进行细致比较。本文旨在深度剖析沈阳名流美容整形医院,并将其与当地其他代表性机构进行横向对比,为求美者提供一份客观、全面的参考。 一、 沈阳名流美容整形医院:底蕴深厚,服务至上的老牌劲旅 沈阳名流美容整形医院是一...
2026-03-13
-
鼻子整形哪里好?鼻子整形与鼻综合修复医院的推荐与选择
精雕细琢,重塑鼻间风华:鼻部整形医院的选择之道与淮北地区推荐 鼻子,作为面部的中心与“五官之王”,其形态直接影响着个人的气质与颜值。随着医疗美容技术的飞速发展,鼻部整形已成为众多求美者寻求面部改善的热门选择。面对市场上众多的医疗机构与纷繁复杂的项目宣传,如何选择一家技术可靠、效果理想的医院,成为决定手术成败与安全的关键第一步。这不仅关乎审美效果的达成,更直接...
2026-03-29
-
整形美容项目有哪些?整形美容与皮肤美容的区别及适应人群
在当代社会,随着医疗技术的进步与审美观念的多元化,寻求通过医学手段改善外貌已成为许多人的选择。面对种类繁多的美容项目,公众常感困惑,尤其是对“整形美容”与“皮肤美容”的界限模糊不清。本文旨在系统梳理常见的整形美容项目,并深入剖析其与皮肤美容在本质、手段及适应人群上的核心区别,以期为求美者提供清晰的认知框架,助力其做出审慎、安全的选择。 一、 常见整形美容项目...
2026-03-18
-
专业整形美容医院怎么选?专业整形美容医院与综合医院美容科对比
专业之选:如何甄别整形美容机构及解析专业医院与综合科室差异 随着医疗美容需求的日益增长,面对市场上众多的医疗机构,如何做出安全、有效的选择成为求美者的首要课题。专业整形美容医院与综合医院下设的美容科(或整形外科)是两种主流的服务提供方,它们在资质、定位、服务上既有重叠又存在显著差异。本文旨在系统阐述选择专业整形美容医院的核心考量维度,并深入对比其与综合医院美...
2026-03-12
-
南京整形美容医院排名:南京整形美容医院与江苏省人民医院整形科
南京作为长三角地区的核心城市,其医疗美容市场呈现出公立医院与专业机构并驾齐驱的繁荣景象。在众多选择中,南京整形美容医院(通常指市场上具有代表性的专业连锁机构)与江苏省人民医院整形科,分别作为专业连锁与公立三甲的典型代表,成为了许多求美者对比的焦点。本文旨在从资质背景、技术特色、团队构成、服务模式及市场口碑等多个维度,对二者进行系统性的梳理与对比,为寻求医美服...
2026-03-12
-
女性私密整形项目有哪些?女性私密整形与紧缩、整形
随着社会观念的进步与医疗技术的发展,女性对于自身健康与生活质量的关注已日益全面,私密整形作为医疗美容与妇科修复相结合的一个领域,正逐渐进入公众视野。这类手术并非单纯追求美观,更旨在解决因先天发育、分娩损伤、年龄增长或外伤等因素导致的生理结构异常、功能困扰及相关的心理健康问题^。本文旨在系统梳理女性私密整形涵盖的主要项目,并深入探讨其中最具代表性的紧缩术与整形...
2026-03-14
-
鼻头整形手术方式:鼻头整形与鼻翼缩小、鼻尖塑形
鼻部作为面部的视觉中心,其形态对整体容貌的美学平衡具有决定性影响。其中,鼻头(又称鼻尖)的形态更是鼻部美学的关键,理想的鼻尖应具备适宜的突度、角度与精致的点面关系。由于先天遗传或后天因素,许多求美者存在鼻头肥大、低平、圆钝或鼻翼过宽等问题。现代鼻整形外科,尤其是鼻头整形,已发展出一系列精细化的手术技术,旨在通过调整鼻翼软骨结构、软组织体积以及鼻部支撑框架,实...
2026-03-29
-
韩美整形医院靠谱吗?韩美整形与韩国整形技术的关联与特色
韩美整形:深耕本土的“韩式”连锁品牌,靠谱之选源于何处 在当今中国医疗美容市场,“韩式整形”以其细腻、自然的审美风格和精细化的技术操作,长久以来占据着重要地位,也成为众多求美者选择机构时的考量关键词。作为一家在全国多地设有分支机构的连锁品牌,“韩美整形”常因其名称与定位,被视为“韩式整形”的代表之一。那么,韩美整形医院究竟是否靠谱?其“韩式”特色是纯粹的概念...
2026-03-28
-
西安整形医院哪家正规?西安整形医院与美容医院排名及特色项目
西安正规整形美容医院综合评述:权威机构、特色技术与理性选择 随着医疗美容行业的快速发展,西安作为西北地区的核心城市,已汇聚了一批技术力量雄厚、资质正规的优质医美机构。求美者在追求美丽蜕变的将安全与效果置于首位,选择一家正规、专业的医院至关重要。本文基于当前市场信息,对西安地区具有代表性的正规整形美容医院及其核心特色进行梳理与解析,为消费者提供一份清晰的指南。...
2026-03-26
-
华美整形医院怎么样?华美整形医院与全国连锁品牌评价
在华语医美领域,“华美”是一个颇具分量与争议的品牌。作为国内较早成立的整形美容连锁机构之一,华美整形医院自上世纪九十年代起,便在全国多个核心城市铺设网络,其发展历程堪称中国医美行业市场化进程的一个缩影。本文旨在综合各方信息,对华美整形医院的连锁品牌实力、专业技术口碑及市场评价进行深度解析,为求美者提供一个相对全面的认知视角。 一、 全国连锁布局与正规化建设 ...
2026-03-12
-
沈阳杏林整形医院官网价格表:沈阳杏林整形医院项目价格与优惠活
在当今医疗美容行业,信息透明与价格合理已成为求美者决策的核心考量。沈阳杏林整形医院作为东北地区具有25年以上历史的三级整形外科医院,其项目定价体系与丰富的优惠活动,恰好为市场提供了一个观察中高端医美机构价值定位的范本。本文旨在系统梳理其核心项目的价格区间,并分析其优惠活动的规律与特点,为消费者提供一份兼具参考性与实用性的指南。 第一部分:项目价格体系解析——...
2026-03-20
-
正规美容整形医院有哪些标准?正规美容整形医院与医疗美容诊所资
明辨资质,安全求美:正规美容整形医院的核心标准与诊所资质详解 在医疗美容需求日益增长的今天,选择一家正规、安全的机构是保障求美者权益与健康的首要前提。市场上机构名称繁多,如“医疗美容医院”、“医疗美容门诊部”、“医疗美容诊所”等,其资质、规模与可开展项目范围存在显著差异。本文将系统阐述正规美容整形医院应具备的核心标准,并清晰辨析其与医疗美容诊所在资质要求上的...
2026-03-19
-
美容整形外科和皮肤科的区别:美容整形外科与皮肤美容科的治疗范
在追求外在形象提升的医疗美容领域,美容整形外科与皮肤美容科构成了两大核心支柱。尽管二者同属医疗美容范畴,但其治疗理念、技术手段及核心适应范围存在本质区别。明确二者的分野,不仅有助于求美者做出精准的医疗决策,也能更好地理解现代医学美容的系统性布局。本文旨在深入剖析美容整形外科与皮肤美容科在治疗范围上的核心差异。 一、 美容整形外科:结构重塑与形态再造 美容整形...
2026-03-24
-
深圳整形医院排名前十:深圳整形医院与正规机构推荐
一、 公立三甲医院整形专科:安全与专业的基石 公立医院凭借其严格的医疗监管、雄厚的科研教学背景以及处理复杂病例的综合实力,始终是众多求美者,尤其是对安全性和修复手术有较高要求人士的首选。 在深圳,多家公立三甲医院的整形美容专科已形成品牌效应。 1. 深圳市人民医院整形美容外科 该科室是深圳地区历史悠久的整形专科之一,综合实力常年位居本地前列。 其优势不仅在于...
2026-03-21
-
北京整形美容医院哪家好?北京整形美容医院与八大处、北医三院对
在医疗美容需求日益增长的今天,北京作为中国的医疗中心,汇聚了众多顶尖的整形外科机构。其中,中国医学科学院整形外科医院(俗称“八大处整形医院”)与北京大学第三医院(北医三院)整形外科,犹如双峰并峙,代表了国内公立医院整形领域的最高水准。本文将从历史沿革、专科实力、技术特色、科研教学及服务模式等多个维度,对这两家标杆机构进行深度对比分析,以期为求美者提供一份客观...
2026-03-12
-
整形美容科和皮肤科关系:整形美容科与皮肤科联合治疗优势
形神兼备,美肤共治:论整形美容科与皮肤科联合治疗的核心优势 在追求健康与美丽的道路上,现代医学提供了多元化的选择。其中,整形美容科与皮肤科的协同合作,正逐渐成为一种高效、安全的诊疗新模式。这种联合并非简单的科室叠加,而是基于皮肤作为人体最大器官的生理与美学双重属性,实现从深层结构到表层质地、从疾病治疗到美学提升的无缝衔接,为求美者提供全方位、个性化的综合解决...
2026-03-17
-
妇科整形包括哪些项目?妇科整形与私密整形手术的范畴及注意事项
随着社会观念的发展和医疗技术的进步,旨在改善女性外生殖器外观与功能的妇科整形及私密整形手术,正逐渐从隐秘角落走向规范的医疗讨论范畴。这类手术不仅关乎美学追求,更与生理健康、功能康复及心理健康密切相关。本文旨在系统梳理妇科整形与私密整形所涵盖的主要项目,并深入探讨在考虑接受此类手术时需要关注的核心注意事项。 一、 妇科整形与私密整形的主要项目范畴 妇科整形与私...
2026-03-14
-
眼睛整形手术方法:眼睛整形与双眼皮、眼袋手术选择
明眸善睐:眼部整形手术方法全解析与个性化选择策略 眼睛被誉为“心灵的窗户”,其形态在很大程度上影响着个人的面部神态与整体气质。随着医疗美容技术的日益精进,眼部整形手术已成为众多求美者改善外貌、提升自信的重要选择。面对诸如重睑术(双眼皮手术)、眼袋去除术、提眉术等多种术式,如何根据自身的眼部基础条件、年龄特征及审美诉求,做出科学、安全且适宜的选择,是达成理想效...
2026-03-22
-
北京八大处整形医院怎么挂号?北京八大处整形医院预约流程与专家
北京八大处整形医院:挂号预约全流程与权威专家指引 一、 引言:权威公立三甲,就医第一步从挂号开始 中国医学科学院北京协和医学院整形外科医院,俗称“八大处整形医院”,是中国整形外科事业的摇篮,作为国内顶尖的公立三甲专科医院,其专家资源和技术实力备受信赖。对于广大求美者及需要进行修复重建的患者而言,成功挂号是开启专业、安全诊疗服务的第一步。鉴于医院严格执行非急诊...
2026-03-12
-
铜雀台整形医院怎么样?铜雀台整形与成都其他医美机构对比
成都,作为中国医美产业的重要一极,已形成公立医院整形科室、大型连锁医美机构与高端专科诊所并存的多元市场格局。对于求美者而言,选择医疗机构需综合考量其临床技术实力、安全合规评级、美学设计理念、硬件设备及术后服务体系等多重维度。本文旨在以成都铜雀台医学美容医院(以下简称“铜雀台整形”)为样本,通过将其置于成都医美行业的整体坐标系中进行横向对比,深度解析其核心竞争...
2026-03-26
-
河南整形美容医院排名:河南整形美容医院与郑州大学第一附属医院
公立旗舰与专科典范:河南两大顶尖医美机构的深度剖析 在河南省的医疗美容领域,公立医疗体系的权威代表与高水准民营专科机构共同构成了行业发展的双引擎。其中,郑州大学第一附属医院整形外科与河南整形美容医院分别作为这两种模式的佼佼者,在求美者心中占据着重要地位。本文旨在对二者进行多维度的对比分析,以揭示其各自的优势与特色。 一、 机构性质与历史沿革:百年积淀与专科精...
2026-03-20
-
西京医院整形科怎么样?西京医院整形科与第四军医大学特色
杏林春暖,匠心塑美——论西京医院整形外科的卓越传承与时代特色 在中国整形外科的版图上,西安西京医院整形外科是一座公认的学术高峰与临床重镇。其深厚的历史积淀、顶尖的专家团队、全面的技术实力以及军民融合的特色,共同构筑了其在国内乃至国际整形美容领域的领先地位。本文将深入解析西京医院整形外科的发展脉络、核心优势及其与第四军医大学(现空军军医大学)密不可分的学科特色...
2026-03-26
-
丽都整形美容医院怎么样?丽都整形美容医院与当地其他医美机构对
在中国医疗美容行业日益规范化、品牌化发展的当下,求美者在选择机构时不仅关注基础资质,更看重其综合实力、技术特色与长期口碑。丽都整形美容医院作为一家全国连锁的知名医美品牌,在多个核心城市均设有分支机构,并积累了相当的知名度。本文将以北京丽都医疗美容医院为主要分析对象,从资质背景、硬件实力、技术特色、医生团队及市场口碑等多个维度,深入剖析其核心竞争力,并与行业内...
2026-03-12
-
太原军大整形医院是正规医院吗?太原军大整形医院资质与患者评价
在医疗美容行业蓬勃发展的今天,选择一家兼具正规资质与良好口碑的机构是求美者安全变美的首要前提。太原军大医疗美容医院作为一家在本地颇具规模的连锁机构,其正规性与市场评价呈现出一种复杂的图景。本文旨在通过对该院官方资质、技术实力与患者反馈的系统梳理,为公众提供一个相对全面的认知视角。 一、坚实的正规资质与硬件基础 从官方备案与硬件配置来看,太原军大整形医院具备成...
2026-03-14
-
北京整形医院有哪些?北京整形医院与八大处、北医三院对比
北京整形医疗机构纵览:八大处、北医三院及其他机构的特色与差异 引言 北京作为中国的医疗中心,其整形外科领域汇聚了众多顶尖的公立与私立医疗机构。这些机构在历史积淀、专业侧重、服务模式及科研教学等方面各具特色,共同构成了多层次、专业化的整形美容服务体系。本文旨在梳理北京地区具有代表性的整形医院,并重点对比分析中国医学科学院整形外科医院(俗称“八大处整形医院”)与...
2026-03-12
-
整形美容医院在线咨询可靠吗?整形美容医院在线咨询与面诊结合建
虚实之间:论整形美容在线咨询的可靠性与面诊的核心价值 一、 在线咨询:便捷时代的双刃剑 整形美容在线咨询,通常指通过医疗机构官网、专业医疗平台或具备资质的医生团队提供的远程初步沟通服务。其核心优势在于 便捷性、隐私保护与初步信息获取 。 1. 可靠性的光明面:规范服务的价值 正规、有资质的整形医院提供的在线咨询,是可靠服务的重要组成部分。其价值体现在: 高效...
2026-03-16
-
深圳整形医院哪家好?深圳整形医院与正规机构推荐
在深圳这座充满活力的现代化都市,医疗美容服务市场蓬勃发展,从顶尖的公立三甲医院专科到专业的私立医美机构,选择繁多。医美的核心是医疗行为,安全与效果永远是第一位的。选择一家正规、专业、技术过硬的医院,是迈向成功变美的第一步。 一、 实力领先的公立三甲医院整形专科 公立医院,尤其是三甲医院的整形美容科或整形外科,凭借其严谨的医疗管理体系、雄厚的科研教学背景和应对...
2026-03-21
-
外科整形包含哪些项目?外科整形与微创整形的手术方式对比
一、 外科整形的主要项目范畴 整形外科的项目体系庞大,但总体上可划分为两大核心方向:修复重建外科与美容外科,两者共同构成了传统外科整形的主体。 1. 修复重建外科:功能与形态的恢复 修复重建外科的核心使命是修复因先天缺陷、创伤、烧伤、肿瘤切除或感染导致的组织缺损和功能障碍,旨在恢复患者的正常生理功能与基本外观。其项目具有明确的医疗必要性,技术复杂程度高。 先...
2026-03-12
-
整形美容机构有哪些?整形美容机构与公立医院整形科的区别
随着医疗美容需求的日益增长,消费者面临的机构选择也愈发多样。从公立医院的整形外科到各类民营医疗美容机构,不同的选择意味着在资质、服务、技术侧重点乃至消费体验上的显著差异。理解这些机构的分类与核心区别,是求美者做出明智决策的第一步。 一、 整形美容机构的主要类型 当前市场上的医疗美容服务机构主要可分为三大类:公立医院整形美容科、私立医疗美容医院/门诊部/诊所,...
2026-03-17
-
上海时光整形医院靠谱吗?上海时光整形与第九人民医院整形科对比
在寻求医疗美容服务时,选择一家正规、专业且适合自身需求的机构至关重要。上海作为中国的医疗美容前沿阵地,拥有众多实力雄厚的医疗机构,其中上海时光整形外科医院与上海第九人民医院整形外科(以下简称“上海九院整形科”)是两类不同性质医院中的杰出代表,常被求美者拿来比较。本文将从机构性质、核心优势、专家团队、技术特色及适合人群等多个维度,对这两家机构进行综合对比分析,...
2026-03-12
-
雅芳亚整形美容医院怎么样?雅芳亚整形与石家庄其他医美机构对比
石家庄的医疗美容行业在近年来发展迅速,涌现出如美莱、天宏、蓝山、美联臣、天伊美等一批各具特色的机构。在这个竞争激烈的市场中,成立于1981年、前身为“黎明街诊所”的雅芳亚医疗美容医院,凭借超过四十年的行业深耕,已从一个老牌门诊部成长为华北地区知名的高端医疗美容品牌之一。它不仅是中国整形美容协会的理事单位,更在2020年及2023年两度通过严苛评审,获评国家“...
2026-03-28
-
哪整形整容好?哪整形整容好与全国整形医院口碑排名查询
在追求美丽与自信的道路上,选择一家技术精湛、口碑卓著的整形医院至关重要。随着医美行业日趋规范与透明,求美者的决策依据已从单一的价格因素,转向对医院综合实力、医生专业资质、服务体验与长期口碑的深度考量。本文基于当前行业格局与公开信息,对全国范围内口碑领先的整形机构进行梳理与分析,旨在为寻求安全、有效、可靠医美服务的您提供一份详实的参考。 一、 全国顶尖公立医院...
2026-03-12
-
上海整形外科医生排名:上海整形外科与第九人民医院整形科专家
申城整形名医图鉴:技术精进与审美变革下的专家格局 在上海这座追求卓越与精致的现代化都市,整形外科不仅承载着修复与重建的医学使命,更成为满足多元化审美需求、提升生活品质的重要医疗领域。近年来,随着行业精细化发展与监管趋严,求美者对专业资质、技术特色与审美理念的关注度显著提升。本文旨在梳理上海地区,特别是以上海交通大学医学院附属第九人民医院(简称上海九院)为代表...
2026-03-12
-
美莱美容整形医院官网价格表:美莱美容整形医院官网项目费用与优
在医疗美容行业,价格透明与性价比是消费者决策的关键因素。美莱美容整形医院作为全国连锁品牌,通过其官网及公开渠道发布的价格信息与促销活动,构建了一套相对清晰且富有吸引力的服务体系。 一、 核心项目价格体系概览 美莱医院的项目价格呈现出分层、分部位的特点,能够满足从基础微调到高难度手术的不同需求。 1. 眼部与鼻部整形:入门与精雕并举 眼部整形是需求最为普遍的项...
2026-03-24
-
艺星整形医院怎么样?艺星整形与连锁医美机构的服务标准
在中国医疗美容行业迅猛发展的背景下,连锁品牌通过标准化的服务与管理模式,正日益成为市场的主流力量。艺星医疗美容集团作为其中的重要一员,其发展轨迹与服务实践,为我们观察连锁医美机构的服务标准构建提供了极具价值的样本。本文旨在通过梳理艺星整形在专业技术、服务流程、品牌运营等方面的表现,剖析其服务标准的优势与面临的挑战,从而为理解当代连锁医美机构的服务内涵提供参考...
2026-03-25
-
双眼皮整形手术方式:双眼皮整形与埋线、全切、微创选择
从埋线到全切:三种主流双眼皮术式的全面解析与选择策略 在追求眼部美学的道路上,双眼皮手术已成为最受欢迎的整形项目之一。面对市场上纷繁的术式名称,如何选择最适合自己的方案,成为许多求美者的首要困惑。本文旨在系统性地解析当前主流的三种双眼皮手术方式——埋线法、全切法以及微创三点法,通过对比其原理、优缺点与适应人群,为读者提供一份科学、客观的选择指南,以期帮助大家...
2026-03-12
-
最靠谱的美容整形医院如何判断?最靠谱的美容整形医院与口碑评价
慧眼识真:判断最靠谱美容整形医院的系统性指南与口碑查询全攻略 在医疗美容行业蓬勃发展的今天,选择一家靠谱的整形医院是确保变美之旅安全、有效的前提。面对市场上琳琅满目的机构,求美者往往感到迷茫。最靠谱的医院,绝不仅仅是广告响亮或装修豪华,而是植根于其硬性的合规资质、专业的医疗团队、先进的设备技术、透明的服务流程以及真实可靠的口碑评价。本文将提供一个系统性的筛选...
2026-03-18
-
昆明整形医院哪家好?昆明整形医院与昆明医科大学第一附属医院整
昆明地区整形医院综合评析:以昆明医科大学第一附属医院整形科为例 在昆明寻求医疗美容或整形修复服务时,面对众多的医疗机构,消费者往往难以抉择。 昆明医科大学第一附属医院、昆明医科大学第二附属医院、云南省第三人民医院、昆明市第一人民医院及云南大学附属医院等都是该地区在美容整形领域表现出色的医疗机构。 本文旨在对昆明地区的整形医院进行综合评析,并以昆明医科大学第一...
2026-03-19
-
百嘉丽整形怎么样?百嘉丽整形与沈阳其他整形医院的优势分析
在沈阳蓬勃发展的医疗美容市场中,众多机构凭借各自的特色与专长吸引着求美者的目光。其中,沈阳百嘉丽医疗美容医院作为一家成立近二十年的老牌机构,始终在业界保持着较高的知名度和讨论度。本文旨在通过对百嘉丽医院自身实力、特色项目的剖析,并将其置于沈阳医美行业的整体格局中,与杏林、名流等代表性医院进行横向比较,从而系统地呈现其核心优势与市场地位。 一、 沈阳百嘉丽医疗...
2026-03-22
-
整形美容手术风险大吗?整形美容手术与微创手术的安全性对比
在当代社会,随着医疗技术的飞速发展,整形美容手术已从昔日的神秘领域走入寻常视野,成为许多人提升自信、修复外观的选择。与此以创伤小、恢复快为标志的微创手术技术也日益成熟,广泛应用于各类疾病的治疗。两者虽常被并称为“微创”或“微整形”,但其核心目的、风险构成及安全性考量存在显著差异。公众在考虑此类手术时,常存有“风险大吗”的疑问。本文将深入剖析整形美容手术的风险...
2026-03-17
-
沈阳整形医院哪家好?沈阳整形医院与杏林、百嘉丽对比
在追求美丽的道路上,选择一家技术过硬、口碑良好、安全可靠的整形医院至关重要。沈阳作为东北地区的核心城市,其医疗美容市场发展迅速,涌现出多家实力雄厚的整形机构。其中,沈阳杏林整形外科医院与沈阳百嘉丽医疗美容医院是本地及周边地区求美者关注度最高的两家代表性机构,它们常常被置于一起进行比较。本文旨在通过综合对比分析,帮助读者更清晰地了解沈阳主流整形医院的格局,特别...
2026-03-19
-
整形手术类型:整形与私密整形手术的种类及术后护理
随着社会观念的进步与医疗技术的发展,女性私密整形(亦称整形)作为一门融合了功能修复与美学改善的医学分支,逐渐受到关注。这类手术旨在解决因先天发育、分娩损伤、年龄增长或单纯美学需求所导致的外阴及结构、功能与外观问题。它不仅关乎生理健康,如缓解不适、改善功能,也涉及心理层面的自信与生活质量提升。任何医疗决策都需建立在充分了解与审慎评估的基础上。本文将系统梳理常见...
2026-03-16
-
嘴巴整形手术方式:嘴巴整形与唇部、口周年轻化手术
口唇是面部美学与情感表达的核心区域之一,其形态与年轻状态直接影响个人面貌的和谐与活力。随着医疗美容技术的不断进步,针对嘴巴及唇部的整形手术已从单一的形态矫正,发展为集功能改善、美学塑造与年轻化于一体的综合治疗体系。本文旨在系统梳理当前主流的嘴巴整形手术方式,并重点探讨唇部及口周年轻化的综合技术方案。 一、 嘴巴整形手术:基于形态缺陷的精准矫正 嘴巴整形手术主...
2026-03-12
-
铭医整形医院怎么样?铭医整形与当地其他医美机构的特色对比
随着中国医美市场的持续扩容与消费观念的日趋理性,机构之间的竞争已从单纯的营销战、价格战,转向了技术实力、服务体验与品牌信誉的深层较量。在此背景下,以“铭医”为品牌的连锁整形机构,如深圳铭医、长春铭医等,通过聚焦核心技术与精细化服务,在区域市场中构建了独特的竞争壁垒。本文旨在剖析铭医整形医院的核心特色,并将其置于当地医美生态中进行横向对比,以揭示其可持续发展的...
2026-03-27
-
眼部整形哪个医院最好呢?眼部整形医院选择与眼综合手术医生推荐
随着医美技术的飞速发展,眼部整形已从单一的双眼皮成形术,演变为一项融合了精准医学、动态美学与个性化设计的综合艺术。面对市场上琳琅满目的医疗机构,求美者往往感到无所适从。本文将系统性地解析如何甄选优质的眼部整形医院与医生,助您安全、科学地踏上变美之旅。 一、 全国性权威医院与区域翘楚 在选择医院时,应优先考虑具备雄厚综合实力、规范诊疗流程和良好学术声誉的机构。...
2026-03-23
-
八大处整形医院怎么样?八大处整形医院与全国顶尖整形外科
在中国整形美容与修复重建领域,“八大处”是一个承载着历史、权威与信赖的名字。作为中国整形外科事业的发源地之一,它从创立之初便肩负着引领学科发展的使命。与此全国范围内如上海九院整复外科等机构同样实力超群,共同构成了中国整形外科的第一梯队。理解八大处的独特地位,离不开将其与这些顶尖同行进行对比的宏观视角。 一、 八大处整形医院的核心优势与综合实力 1. 深厚的公...
2026-03-12
-
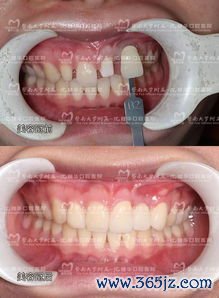
整形牙齿矫正的方法:整形牙齿与口腔正畸的治疗方案对比
在现代口腔医疗领域,改善牙齿与面部外观的需求日益增长,但不同的诉求对应着截然不同的治疗哲学与技术路径。普遍存在的困惑在于,如何区分旨在快速改善牙齿外观的“牙齿整形”与旨在系统调整牙齿排列和咬合功能的“口腔正畸”。事实上,二者虽常被并提,但其治疗内核、干预手段及最终目标存在本质区别,正确的认知是做出科学选择的第一步。 一、核心定义与治疗目标的根本分野 1. 牙...
2026-03-16
-
唇部整形手术方式:唇部整形与M唇、厚唇改薄手术
唇部美学重塑:M唇成形术与厚唇改薄术的技术解析与应用 引言 在面部美学中,唇部占据着至关重要的地位,其形态直接影响着面部的整体协调与表情表达。理想的唇形不仅关乎静态美感,更与动态的社交互动息息相关。随着现代医学美容技术的不断进步,唇部整形手术已发展出一系列精细化的术式,能够针对性地改善各种唇部形态问题,帮助求美者实现个性化的美学追求。其中,以塑造立体唇峰的M...
2026-03-12
-
太原整形医院哪家好?太原整形医院与山西医科大学第一医院整形科
龙城求美指南:太原整形医院格局与山医大一院整形科深度解析 随着社会对医疗美容与修复重建需求的日益增长,太原作为山西省的医疗中心,其整形医疗市场也呈现出多元化、专业化的发展态势。 众多求美者与患者在面临选择时,常感困惑:究竟是选择综合实力雄厚的公立医院科室,还是侧重服务与特定项目的机构?本文旨在梳理太原整形医疗市场的核心格局,并以省内公认的标杆——山西医科大学...
2026-03-13
-
华美整形美容医院怎么样?华美整形美容医院与全国连锁品牌评价
华美整形美容医院:全国连锁医美品牌的实力审视与市场回声 在当今医疗美容行业蓬勃发展的背景下,华美整形美容医院作为一个拥有近三十年历史的品牌,其名号频繁出现在众多求美者的视野中。它究竟是凭借怎样的实力在激烈的市场竞争中立足?其全国连锁的模式又带来了怎样的品牌效应与消费者评价?本文试图深入探讨这些问题。 一、 品牌溯源与全国连锁布局 华美整形美容医院并非单一的地...
2026-03-12
-
济南整形医院哪家口碑好?济南整形医院与山东省立医院整形科对比
随着医疗美容需求的日益增长,选择一家技术精湛、口碑优良的整形医院成为众多求美者的首要关切。在医疗资源丰富的济南市,多家三甲医院的整形美容科凭借雄厚的综合实力、权威的专家团队与丰富的临床经验,赢得了良好的社会声誉。本文旨在梳理济南地区口碑卓著的整形医疗机构,并对其中的佼佼者——山东省立医院整形美容外科进行重点剖析与横向对比。 一、 济南口碑领先的整形医院概览 ...
2026-03-20
-
韩美整形美容医院怎么样?韩美整形美容医院与韩国技术关联
韩美整形美容医院:韩式技术的本土化融合与创新之路 在当今中国医疗美容市场,韩美整形美容医院是一个颇具代表性的连锁品牌。其名称中的“韩”字,直观地揭示了其与韩国美容整形技术的深厚渊源。这家成立于1993年,并已在全国数十个城市设立分支机构的连锁机构,其发展路径清晰地展现了一条将韩国先进医美技术引入、消化、吸收并再创新的本土化征程。 一、 医院概况:连锁化发展与...
2026-03-28
-
中国医学科学院整形外科医院官网:中国医学科学院整形外科医院预
作为中国整形外科事业的摇篮和标杆,中国医学科学院整形外科医院(即“八大处整形医院”)凭借其权威的资质与精湛的技术,成为众多求美者与患者的首选。为优化就医体验、合理分流患者,医院现已全面实行非急诊预约挂号制度,取消了传统的现场挂号方式。 本指南将系统梳理该院的预约挂号全流程、核心规则及实用技巧,旨在帮助您高效、顺利地完成就诊预约。 一、 预约前必知:核心原则与...
2026-03-12
-
杭州整形医院哪家口碑好?杭州整形医院与浙江大学附属医院整形科
在医疗美容与整形需求日益增长的当下,杭州作为中国医美产业的重要高地,汇集了众多公立与私立医疗机构,形成了多元化、高水平的医疗服务格局。对于求美者而言,如何在众多选择中甄别出口碑良好、技术过硬、适合自身需求的医院,是一项至关重要的功课。本文旨在综合现有信息,对杭州地区口碑较佳的部分公立医院整形科室及私立整形医院进行梳理与评述,以期为读者提供有价值的参考。 一、...
2026-03-19
-
上海最好的整形医院是哪家?上海最好的整形医院与第九人民医院、
双峰并立,各领风骚:上海第九人民医院与华山医院整形外科深度解析 在上海这座医疗资源高度集聚的国际大都市,整形外科领域呈现群雄逐鹿之势。其中,上海交通大学医学院附属第九人民医院整复外科与复旦大学附属华山医院整形外科,犹如两座并立的高峰,代表了国内整形修复与美容外科的顶尖水平,常年在各类权威榜单中名列前茅。二者虽同属公立三甲医院,享誉全国,但在学科渊源、技术专长...
2026-03-12
-
整形鼻子手术方式:整形鼻子与鼻部综合、鼻翼缩小选择
整形鼻部的手术方式:鼻综合与鼻翼缩小的选择与解析 鼻部作为面部的中心,其形态对面部整体美感与协调性至关重要。随着整形外科技术的日益精进,针对不同鼻部问题的术式也不断发展成熟。在众多鼻部整形项目中,鼻综合手术与鼻翼缩小术是两种需求广泛且技术成熟的手术方式。本文旨在系统阐述这两种主流术式的核心原理、适应人群、手术方法及相互关系,为求美者提供科学的认知参考。 一、...
2026-03-18
-
生殖整形包括哪些?生殖整形与私密整形、性别重塑手术
一、 生殖整形的核心定义与涵盖范围 生殖整形,广义上是指通过外科手术或其他医学方法,对男性或女性的生殖器官进行形态修整、功能重建或外观美化的医疗行为。其根本目的在于解决因先天发育异常、后天损伤、疾病或自然衰老等因素导致的生殖器官问题,最终目标是改善生理功能、提升外观满意度并缓解相关的心理困扰。 根据手术目的与目标人群的差异,生殖整形主要可分为三大类: 功能性...
2026-03-22
-
长春中妍整形医院评价:长春中妍整形医院与当地医美品牌特色
北国春城的医美标杆:长春中妍整形医院的特色发展与多维评价 在长春乃至吉林省的医疗美容领域,“中妍”是一个绕不开的名字。这家成立于上世纪九十年代的机构,历经二十余年的发展,已从一家区域性美容机构,成长为在本地乃至全国同行业中均享有较高声誉的综合性连锁品牌。其发展轨迹,不仅映射了中国医美行业的变迁,更集中体现了区域性头部医美机构在品牌塑造、技术整合与市场应对中的...
2026-03-28
-
美容整形中心怎么选?美容整形中心与综合医院美容科的服务对比
医美选择之辨:美容整形中心与综合医院美容科的差异与决策指南 在追求美丽与自信的旅程中,选择一个安全、专业、契合自身需求的医疗美容机构是至关重要的第一步。当前,求美者主要面临两大选择:专业的医疗美容整形中心(通常为大型私立连锁机构)与公立或大型综合医院下设的医学美容/整形科。二者在定位、服务、价格与核心优势上存在显著差异,理解这些差异是做出明智决策的基础。 一...
2026-03-23
-
沈阳百嘉丽整形价格表2024:沈阳百嘉丽整形价格表与项目费用
理性消费,安心变美:透视沈阳百嘉丽整形价格与价值 在当今社会,医疗美容已成为许多人追求自我完善与提升自信的重要途径。面对市场上琳琅满目的医美机构与纷繁复杂的项目报价,求美者往往感到困惑与不安,尤其担心价格不透明或存在隐形消费。沈阳百嘉丽整形美容医院作为东北地区成立较早、颇具知名度的正规医美机构,其公开透明的价格体系为行业树立了良好标杆,也为消费者提供了清晰的...
2026-03-21
-
整形科和美容皮肤科区别:整形科与美容皮肤科的治疗范围划分
重塑之美与肤理之艺:论整形外科与美容皮肤科的疆界 在追求美丽与健康的道路上,整形外科与美容皮肤科是两个常被提及但又容易混淆的专业领域。它们虽同属“美”的范畴,却从不同的医学维度出发,运用迥异的技术手段,服务于差异化的需求。厘清二者的治疗范围划分,不仅关乎专业认知,更是保障求美者获得适宜、安全、有效治疗的前提。 一、 核心使命与哲学基础的分野 从根本上说,两个...
2026-03-16
-
下颌骨整形手术风险大吗?下颌骨整形与面部轮廓重塑的注意事项
理性求美,安全为先:下颌骨整形手术的风险剖析与科学重塑指南 追求面部轮廓的和谐与精致是许多求美者的愿望,而下颌骨整形手术作为面部轮廓重塑的关键手段之一,能够显著改善下颌角宽大、下巴后缩或凸出等问题。这并非一项简单的美容项目,而是被国家卫健委列为最高级别的“四级手术”,其复杂性与风险性并存。在决定踏上这条求美之路前,深入、全面地了解手术风险并掌握科学的术前术后...
2026-03-12
-
杭州华山整形医院怎么样?杭州华山整形与当地其他整形医院的优势
深耕与精进:杭州华山整形医院的核心优势与市场定位分析 在医疗美容行业蓬勃发展的杭州,各类整形机构林立,竞争日趋激烈。杭州华山连天美医疗美容医院(以下简称“杭州华山整形”)作为一家拥有近四十年历史的老牌机构,其市场地位与发展路径值得深入探讨。本文旨在梳理该医院的核心概况,并基于其特点,分析与当地其他整形医院相比的潜在优势。 一、 医院概况与历史积淀 杭州华山整...
2026-03-20
-
上海微整形哪里好?上海微整形与注射美容医院排名及推荐
在追求精致与年轻化的时代潮流中,微整形与注射美容以其创伤小、恢复快、效果显著的特点,已成为众多求美者的热门选择。作为中国医美产业的前沿阵地,上海汇聚了众多实力雄厚的医疗机构,从公立三甲到高端私立,选择繁多却也令人眼花缭乱。本文旨在梳理上海地区在微整形与注射美容领域颇具实力与口碑的医院,为您的变美之旅提供一份清晰的参考。 一、 公立医院的权威与底蕴 公立医院,...
2026-03-12
-
私密整形项目有哪些?私密整形与女性生殖器美化手术
私密整形,作为整形外科领域中一个兼具功能性与美学性的分支,近年来逐渐受到关注。它并非单一的手术,而是一个涵盖多种术式的集合,旨在解决女性外生殖器及盆底区域因先天发育、分娩损伤、年龄增长或审美需求而产生的各类问题^。其核心目标是通过外科手术或非手术医疗手段,改善私密部位的形态与功能,从而提升个体的生理舒适度、心理健康与生活质量^。本文将对私密整形的主要项目进行...
2026-03-22
-
女性私密整形图真实案例:女性私密整形图与私密整形手术效果展示
随着现代医疗技术的进步与社会观念的逐渐开放,女性私密整形已从隐秘话题逐渐走入专业医疗与健康管理的视野。这类手术不仅关乎美学,更紧密关联着功能改善与生活质量的提升。本文将通过整合真实案例与手术效果展示,系统解析女性私密整形的主要项目、手术原理及术后康复,为有需求者提供一份详实的参考。 一、 常见私密整形项目及其适应症 女性私密整形涵盖了一系列针对外生殖器形态与...
2026-03-13
-
耳朵整形大概需要多少钱?耳朵整形价格与招风耳、杯状耳矫正费用
耳部整形手术费用分析报告:从招风耳、杯状耳矫正到综合耳再造 耳部整形手术作为一项旨在改善耳廓形态、修复先天或后天畸形的医疗美容项目,其费用问题一直是求美者关注的核心。手术价格并非一个固定数值,而是受到畸形类型、手术复杂程度、地域消费水平、医疗机构资质及手术材料等多重因素综合影响的一个动态区间。本文旨在系统梳理耳部整形手术,特别是招风耳与杯状耳矫正的费用构成、...
2026-03-25
-
瘦脸整形手术方法:瘦脸整形与面部吸脂、瘦脸针选择
随着现代医疗美容技术的发展,追求精致流畅的面部轮廓已成为众多求美者的普遍诉求。瘦脸整形作为其中重要的分支,提供了从非手术微调到外科手术重塑的多元化方案。面对诸如注射瘦脸、面部吸脂、下颌角截骨等多种方式,如何基于自身面部基础条件、预期效果及风险承受能力,做出科学与个性化的选择,是达成理想变美目标的关键。本文旨在系统梳理主流瘦脸整形方法,并构建一套科学的选择逻辑...
2026-03-22
-
女性整形手术方式:女性整形与私密整形、手术
随着医疗技术的进步与个体对自身健康、生活质量及审美需求的日益关注,女性整形手术,作为私密整形领域的重要组成部分,已逐渐从隐秘话题走向规范的医疗讨论。这类手术旨在通过外科或非手术医疗手段,矫正因先天发育、分娩损伤、年龄增长或外伤等因素导致的生殖器形态异常与功能障碍,在解决生理不适、改善性生活质量、修复外观及提升心理自信等方面发挥着重要作用。它并非单纯的“美容”...
2026-03-13
-
双眼皮整形美容医院怎么选?双眼皮整形美容医院与眼部修复专家
明眸善睐,始于明智之选——双眼皮整形医院与眼部修复专家甄选全攻略 双眼皮手术作为一项成熟的医疗美容项目,已帮助无数求美者改善了眼部形态,提升了个人气质。任何医疗行为都伴随风险,一次不理想的手术不仅可能带来美学上的遗憾,甚至可能导致功能性问题,使得修复手术的需求应运而生。无论是初次手术还是修复手术,审慎选择医院与医生是成功的第一步。本文将从医院资质、医生实力、...
2026-03-12
-
重庆华美整形医院怎么样?重庆华美整形与当地其他医美机构对比
引言 在重庆蓬勃发展的医疗美容市场中,各类机构争奇斗艳,为求美者提供了丰富选择。其中,重庆华美整形外科医院作为一家老牌且规模庞大的连锁机构,始终占据着市场的重要位置。本文旨在深入剖析重庆华美的综合实力,并将其置于重庆本地医美市场的竞争版图中,与如重庆当代、军美、艺星等其他代表性机构进行横向对比,以期为消费者提供一份客观、全面的参考。 一、 重庆华美整形外科医...
2026-03-27
-
上海整形美容医院排行榜:上海整形美容医院与公立三甲整形科对比
上海作为国际大都市,其医疗美容服务供给体系具有鲜明的“双轨制”特征:一边是依托于大型综合医院的 公立三甲整形外科 ,以深厚的技术底蕴和严谨的医疗规范著称;另一边则是以市场化运营为主的 专业整形美容医院(包括私立连锁与高端医美) ,主打个性化服务、先进设备和灵活方案。 这种格局的形成,源于消费者差异化的需求——从高难度修复手术到日常美容维养,市场通过分化满足了...
2026-03-12
-
上海整形医院哪家好?上海整形医院排名与专家团队介绍
在上海这座追求卓越的时尚之都,医美行业同样汇聚了国内顶尖的医疗资源。对于求美者而言,选择一家技术过硬、专家云集、安全可靠的整形医院至关重要。本文将从公立医院与知名私立机构两个维度,深入解析上海几家具有代表性的顶尖整形医院及其王牌专家团队。 一、 公立三甲医院的“金字招牌”:技术底蕴与综合实力 在众多选择中,公立三甲医院的整形外科因其深厚的历史积淀、雄厚的科研...
2026-03-12
-
上海整形医院怎么选?上海整形医院与医疗美容门诊部的服务对比
专业、合规与选择:上海整形医院与医疗美容门诊部服务全解析 在追求美丽与自信的今天,上海作为中国医美产业的前沿阵地,汇聚了众多类型的医疗美容机构。面对琳琅满目的选择,如何辨别并选择适合自己的机构,成为求美者的首要课题。本文将从机构资质、服务范围、专业侧重及选择策略等多个维度,系统对比上海地区的整形医院与医疗美容门诊部,以期为消费者提供一份清晰、实用的决策指南。...
2026-03-12
-
鼻子整形需要多少钱?鼻子整形需要多少钱与不同医院、医生差异
鼻子整形,作为改善面部轮廓与提升个人自信的热门医美项目,其费用区间跨度极大,从数千元到数十万元不等,常令求美者感到困惑。价格的巨大差异并非随意设定,而是由手术方式、材料选择、医生资历、医院性质、地区消费水平以及个体鼻部基础条件等多重因素共同决定的复杂结果。理解这些构成要素,是进行明智决策和合理预算规划的第一步。 一、核心影响因素:决定价格的关键变量 1. 手...
2026-03-29